Eclampsia & PRES in Teens: A Rare Case Report

The Rising Threat of PREPS: Predicting the Future of Reversible Encephalopathy in Young Mothers

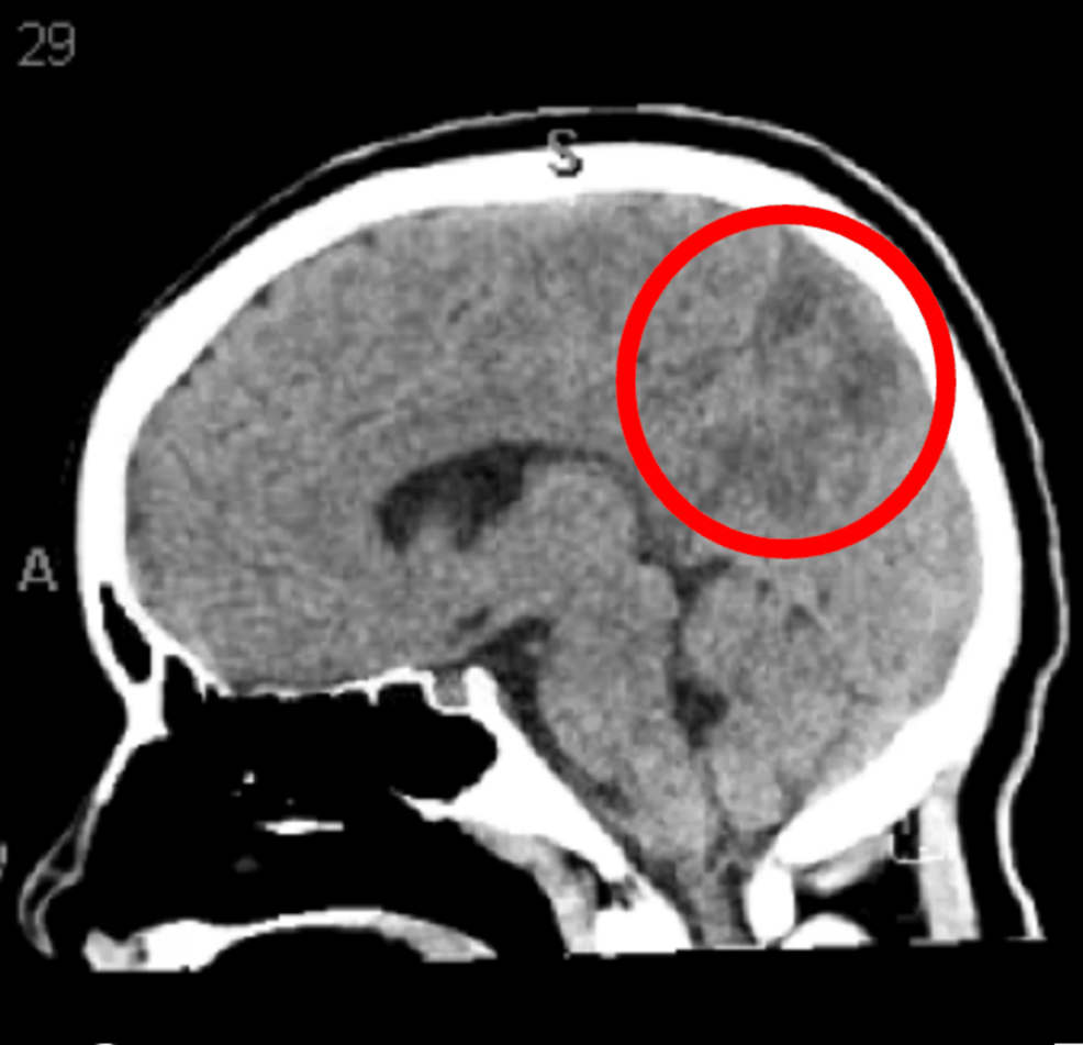
Imagine a scenario: a seemingly healthy 16-year-old, days after giving birth, suddenly experiencing a severe headache, vision changes, and seizures. This isn’t a rare medical drama; it’s the frightening reality of Posterior Reversible Encephalopathy Syndrome (PREPS), increasingly linked to complications like eclampsia. While historically considered uncommon, recent case reports – like the one detailing a PREPS diagnosis in an eclamptic adolescent – suggest a potential rise in incidence, particularly within specific demographics. Understanding the evolving landscape of PREPS is crucial, not just for medical professionals, but for anyone involved in maternal healthcare and public health initiatives.

Understanding the PREPS-Eclampsia Connection

PREPS is a neurological condition characterized by headache, altered mental status, seizures, and visual disturbances. It’s often, though not always, reversible with prompt treatment. Eclampsia, a severe complication of pregnancy marked by seizures in a woman with pre-eclampsia, is a significant risk factor. The case report highlights the challenges of diagnosing PREPS in adolescents, where symptoms can be atypical and quickly attributed to other postpartum issues. The underlying mechanism isn’t fully understood, but it’s believed to involve cerebral vasoconstriction and edema, often triggered by abrupt changes in blood pressure. **Posterior Reversible Encephalopathy Syndrome** is increasingly recognized as a spectrum disorder, with varying degrees of severity and reversibility.

Did you know? PREPS can sometimes mimic stroke symptoms, leading to delays in diagnosis and treatment. Early recognition is paramount to minimizing neurological damage.

The Role of Rising Maternal Age and Comorbidities

While eclampsia rates have generally decreased in developed countries due to improved prenatal care, certain trends are concerning. An increase in maternal age, coupled with rising rates of obesity, hypertension, and diabetes in pregnant women, are creating a perfect storm for increased pre-eclampsia and, consequently, PREPS. These pre-existing conditions exacerbate the physiological stress of pregnancy, making women more vulnerable to vascular dysfunction. Furthermore, delayed childbearing often means women are entering pregnancy with already established cardiovascular risk factors.

Future Trends: Beyond Traditional Risk Factors

The future of PREPS management will likely move beyond simply addressing eclampsia. Researchers are beginning to explore other potential triggers and contributing factors.

The Impact of Autoimmune Disorders

Emerging evidence suggests a link between autoimmune disorders and PREPS. Conditions like systemic lupus erythematosus (SLE) and antiphospholipid syndrome can increase the risk of vascular inflammation and endothelial dysfunction, potentially predisposing individuals to PREPS. This connection necessitates a broader diagnostic approach, considering autoimmune markers in patients presenting with PREPS symptoms.

Expert Insight: “We’re seeing a growing number of cases where PREPS occurs in the absence of classic eclampsia risk factors, prompting us to investigate the role of underlying autoimmune processes. A more holistic assessment of a patient’s medical history is crucial.” – Dr. Anya Sharma, Neurologist specializing in maternal neurology.

The Potential of Biomarker Discovery

Currently, PREPS diagnosis relies heavily on neuroimaging (MRI) to visualize the characteristic edema. However, research is underway to identify specific biomarkers that could facilitate earlier and more accurate diagnosis. These biomarkers could include proteins associated with endothelial dysfunction, inflammation, or blood-brain barrier disruption. The development of a reliable biomarker would revolutionize PREPS management, allowing for proactive intervention before irreversible neurological damage occurs.

The Rise of Telemedicine and Remote Monitoring

Telemedicine offers a promising avenue for improving access to specialized care, particularly in rural or underserved areas. Remote monitoring of blood pressure and other vital signs can help identify women at high risk of pre-eclampsia and PREPS, enabling timely intervention. However, ensuring equitable access to technology and addressing potential privacy concerns are critical considerations for successful implementation.

Actionable Insights for Healthcare Professionals

The evolving understanding of PREPS demands a proactive and multidisciplinary approach to maternal healthcare. Here are some key takeaways:

Prioritize Early Recognition: Be vigilant for atypical symptoms, especially in adolescents and women with pre-existing conditions.
Expand the Differential Diagnosis: Consider autoimmune disorders and other non-eclampsia related triggers.
Embrace a Multidisciplinary Approach: Collaboration between obstetricians, neurologists, and radiologists is essential for optimal patient care.

Pro Tip: Develop standardized protocols for PREPS diagnosis and management within your institution to ensure consistent and evidence-based care.

Frequently Asked Questions

What is the long-term prognosis for patients with PREPS?

The prognosis varies depending on the severity of the syndrome and the speed of diagnosis and treatment. Most patients experience full or near-full recovery, but some may have residual neurological deficits. Long-term follow-up is crucial to monitor for potential complications.

Can PREPS occur during pregnancy, not just postpartum?

Yes, PREPS can occur during pregnancy, although it’s less common. It’s often associated with severe pre-eclampsia or HELLP syndrome (Hemolysis, Elevated Liver enzymes, and Low Platelet count).

Are there any preventative measures for PREPS?

While there’s no guaranteed way to prevent PREPS, managing pre-existing conditions like hypertension and diabetes, optimizing prenatal care, and closely monitoring blood pressure during pregnancy can significantly reduce the risk.

What role does magnesium sulfate play in PREPS prevention?

Magnesium sulfate is a standard treatment for preventing and managing eclampsia-related seizures. While it doesn’t directly prevent PREPS, it can help control blood pressure and reduce the risk of seizures, potentially mitigating the severity of the syndrome.

The future of PREPS management hinges on a deeper understanding of its underlying mechanisms, the development of reliable biomarkers, and a commitment to proactive, multidisciplinary care. What innovative strategies do you believe will be most impactful in reducing the incidence and improving outcomes for patients with PREPS? Share your thoughts in the comments below!

Explore more insights on maternal health complications in our comprehensive guide.






Photo of author

Dr. Priya Deshmukh - Senior Editor, Health

Dr. Priya Deshmukh Senior Editor, Health Dr. Deshmukh is a practicing physician and renowned medical journalist, honored for her investigative reporting on public health. She is dedicated to delivering accurate, evidence-based coverage on health, wellness, and medical innovations.

Growth Stocks: 2 Buys for June & Beyond 🚀

Mario Kart Switch 2: First Impressions & Diario AS Review

Leave a Comment

This site uses Akismet to reduce spam. Learn how your comment data is processed.