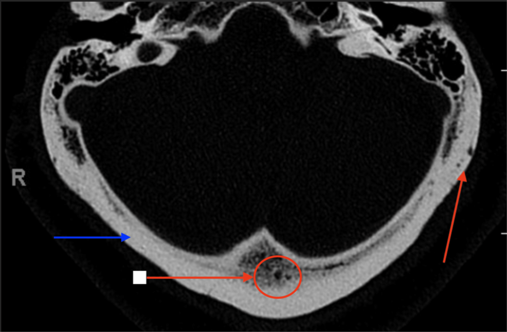
Lytic Bone Lesions & Diagnostic Challenges: A Case Study
Unraveling Diagnostic Challenges in Lytic Bone Lesions: A Case Study and Broader Implications A recent case report published this week details a complex diagnostic journey involving a patient presenting with ... Read More