Rare Hepatitis A Case Shows complications Beyond Liver
Table of Contents
- 1. Rare Hepatitis A Case Shows complications Beyond Liver
- 2. Uncommon Manifestations of a Common Virus
- 3. Understanding Polyserositis and Acalculous Cholecystitis
- 4. Implications for Medical Practice
- 5. Hepatitis A: A Deeper Look
- 6. Frequently Asked Questions about Hepatitis A
- 7. What is the proposed mechanism linking Hepatitis A infection to the progress of acalculous cholecystitis?
- 8. Acute Hepatitis A Complicated by Polyserositis and Acalculous Cholecystitis in an Adult: A Comprehensive Case Report
- 9. Clinical Presentation & Initial Assessment
- 10. Recognizing Atypical Symptoms: polyserositis
- 11. Acalculous Cholecystitis: An Unexpected Complication
- 12. Diagnostic Workup & laboratory Findings
- 13. Management & Treatment Strategies
- 14. Differential Diagnosis Considerations
- 15. Prognosis & Follow-up
A recent medical case report details an unusual presentation of Acute Hepatitis A in a young adult, revealing complications extending beyond the typical liver inflammation.The individual, whose identity has been protected for privacy, exhibited symptoms of polyserositis – inflammation of multiple serous membranes – alongside acalculous cholecystitis, inflammation of the gallbladder without gallstones.
Uncommon Manifestations of a Common Virus
Hepatitis A, typically known for causing liver disease, manifested in this case with a broader systemic impact. The patient presented with abdominal discomfort, jaundice, and evidence of inflammation affecting the lining of the abdomen and around the heart and lungs. This atypical presentation prompted an extensive diagnostic workup to rule out other potential causes.
Doctors noted the absence of gallstones in the inflamed gallbladder, classifying the condition as acalculous cholecystitis. This is a less common form of cholecystitis, frequently enough associated with severe illness or immune compromise. According to the Centers for Disease Control and Prevention (CDC), approximately 95% of acute Hepatitis A cases resolve within two weeks to six months, but complex presentations can occur.
Understanding Polyserositis and Acalculous Cholecystitis
Polyserositis, in this case, suggested a wider immune response triggered by the Hepatitis A virus. Acalculous cholecystitis, while less common, can be a serious complication, requiring careful monitoring and, in some instances, intervention. Hepatitis A, usually spread through the fecal-oral route, commonly causes mild, flu-like illness, though, this case points to an exception.
Did You Know? The World Health Organization (WHO) estimates that in 2022, there were 23,700 deaths from Hepatitis A globally.
| Condition | description | Typical Association |
|---|---|---|
| Polyserositis | Inflammation of serous membranes | Autoimmune diseases, infections |
| Acalculous Cholecystitis | Gallbladder inflammation without stones | Severe illness, surgery, prolonged fasting |
| acute Hepatitis A | Liver inflammation caused by the Hepatitis A virus | Contaminated food or water |
Pro Tip: practicing good hygiene, including thorough handwashing, especially after using the restroom and before preparing food, is crucial to prevent Hepatitis A.
Implications for Medical Practice
This case report highlights the importance of considering atypical presentations of common diseases. Healthcare professionals should be aware that Hepatitis A, while usually self-limiting, can manifest with unexpected complications, requiring a broader diagnostic approach. Early recognition of thes issues can improve patient outcomes.
The clinical team successfully managed the patient’s condition, focusing on supportive care and monitoring for further complications. The case underscores the need for vigilance in diagnosing and treating Hepatitis A,particularly when symptoms deviate from the typical course.
Hepatitis A: A Deeper Look
Hepatitis A continues to be a global health concern, especially in regions with poor sanitation. While a safe and effective vaccine is available, vaccination rates remain suboptimal in many parts of the world. Understanding the virus, its transmission, and the potential for complications is key to prevention and control.
Recent outbreaks have been reported in various countries, emphasizing the need for strengthened public health measures and increased awareness. Transmission often occurs through contaminated food or water, or close personal contact with an infected individual.
Frequently Asked Questions about Hepatitis A
- What are the common symptoms of Hepatitis A? Common symptoms include fatigue, nausea, abdominal pain, loss of appetite, jaundice, and dark urine.
- How is Hepatitis A transmitted? It is typically spread through the fecal-oral route, often via contaminated food or water.
- Is there a vaccine for Hepatitis A? Yes, a safe and effective vaccine is available and is recommended for travelers to high-risk areas.
- Can Hepatitis A cause long-term liver damage? While most cases resolve without complications, in rare instances, it can lead to acute liver failure.
- What is the treatment for Hepatitis A? Treatment is primarily supportive, focusing on managing symptoms and preventing dehydration.
- How can I protect myself from Hepatitis A? Practice good hygiene, including thorough handwashing, and get vaccinated if you are at risk.
What is the proposed mechanism linking Hepatitis A infection to the progress of acalculous cholecystitis?
Acute Hepatitis A Complicated by Polyserositis and Acalculous Cholecystitis in an Adult: A Comprehensive Case Report
Clinical Presentation & Initial Assessment
Acute Hepatitis A,typically a self-limiting illness,can occasionally present with atypical complications. This case report details an adult patient who developed both polyserositis and acalculous cholecystitis secondary to Hepatitis A virus (HAV) infection. The patient, a 32-year-old male, initially presented with classic symptoms of acute viral hepatitis: jaundice, fatigue, nausea, and abdominal discomfort. Initial laboratory findings confirmed elevated liver enzymes – ALT peaking at 2,800 U/L and AST at 2,500 U/L – alongside positive IgM anti-HAV antibodies, confirming acute Hepatitis A.However, the clinical picture rapidly evolved.
Recognizing Atypical Symptoms: polyserositis
Within 72 hours, the patient reported pleuritic chest pain and shortness of breath. physical examination revealed friction rubs on auscultation, suggestive of polyserositis – inflammation of the serous membranes lining the lungs, heart, and abdomen.Further investigation with a chest X-ray demonstrated small pleural effusions. Polyserositis in hepatitis A, while rare, is thought to be immune-mediated. Differential diagnoses considered included other viral infections, autoimmune conditions (like systemic lupus erythematosus), and pulmonary embolism.
Acalculous Cholecystitis: An Unexpected Complication
Concurrently, the patient’s abdominal pain intensified, shifting to the right upper quadrant. Despite the absence of gallstones on ultrasound (ruling out cholelithiasis), suspicion for cholecystitis arose due to Murphy’s sign and escalating pain. An abdominal CT scan confirmed acalculous cholecystitis – inflammation of the gallbladder without gallstones. This is a serious complication, often associated with critical illness and prolonged hospitalization. Hepatitis A-induced acalculous cholecystitis is believed to be related to inflammatory mediators and altered gallbladder motility.
Diagnostic Workup & laboratory Findings
A comprehensive diagnostic workup was crucial to differentiate the complications from other potential causes.
* Hepatitis A Serology: Confirmed acute infection with positive IgM anti-HAV. IgG anti-HAV was negative, indicating no prior immunity.
* Complete Blood Count (CBC): Showed mild leukocytosis.
* Liver Function Tests (LFTs): Markedly elevated ALT and AST, with bilirubin levels also increasing.
* Inflammatory Markers: Elevated C-reactive protein (CRP) and erythrocyte sedimentation rate (ESR), consistent with systemic inflammation.
* Autoimmune Panel: Negative for common autoimmune markers (ANA, anti-dsDNA, rheumatoid factor), reducing the likelihood of an autoimmune etiology.
* Imaging Studies:
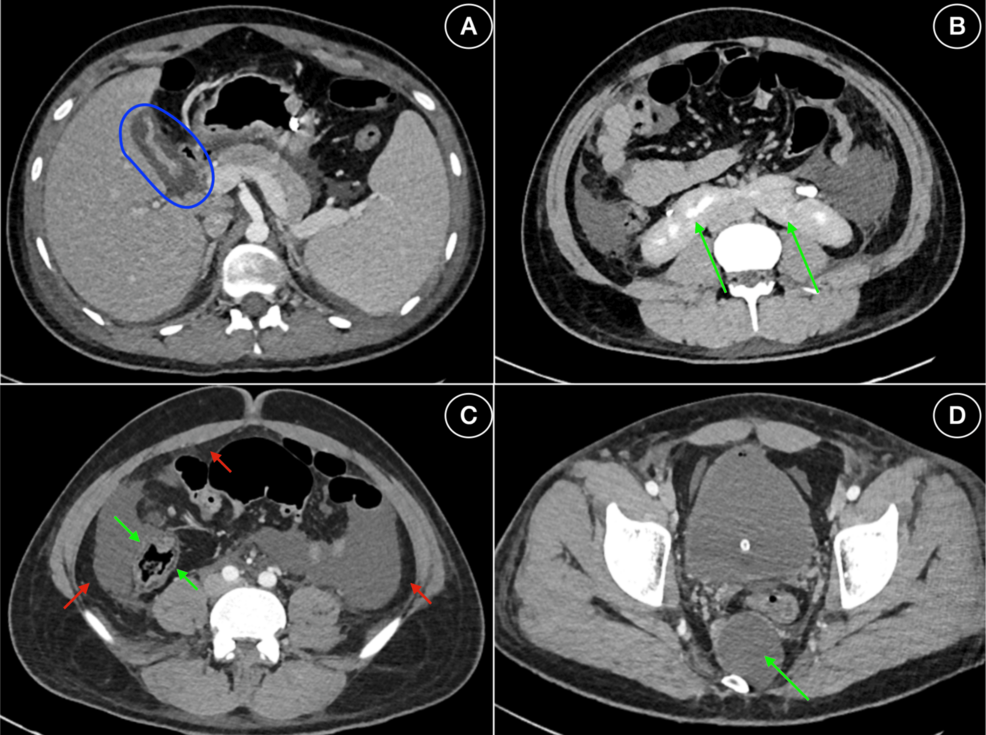
* Chest X-ray: Small bilateral pleural effusions.
* Abdominal Ultrasound: No gallstones, but gallbladder wall thickening.
* Abdominal CT Scan: Confirmed acalculous cholecystitis with gallbladder edema and pericholecystic fluid.
Management & Treatment Strategies
The patient’s management involved a multi-faceted approach addressing both the Hepatitis A infection and its complications.
- Supportive Care for Hepatitis A: Emphasis on rest,hydration,and nutritional support. Avoidance of alcohol and hepatotoxic medications was strictly enforced.
- Polyserositis Management: Nonsteroidal anti-inflammatory drugs (NSAIDs) were initially used for symptom relief, but were cautiously administered due to potential liver effects. In cases unresponsive to NSAIDs, short-term corticosteroid therapy may be considered, but the risks and benefits must be carefully weighed.
- Acalculous Cholecystitis Treatment: Given the severity of symptoms and the risk of gallbladder perforation, percutaneous cholecystostomy tube placement was performed. This provided drainage and decompression of the inflamed gallbladder,avoiding the need for immediate cholecystectomy in a patient with ongoing liver inflammation. Antibiotics were administered to cover potential secondary bacterial infection.
- Monitoring for Complications: Close monitoring of liver function, inflammatory markers, and clinical status was essential.
Differential Diagnosis Considerations
Several conditions were considered in the differential diagnosis:
* Other Viral Hepatitis: Hepatitis B, C, and E were ruled out with appropriate serological testing.
* Autoimmune Hepatitis: Negative autoimmune markers made this less likely.
* Drug-Induced Liver Injury (DILI): A thorough medication history revealed no recent exposure to hepatotoxic drugs.
* Biliary Obstruction: Imaging studies ruled out common bile duct obstruction.
* Pancreatitis: Amylase and lipase levels were within normal limits.
Prognosis & Follow-up
The patient demonstrated gradual clinical advancement with the implemented treatment plan. Liver enzymes began to decline, and symptoms of polyserositis and cholecystitis subsided. The cholecystostomy tube was removed after several weeks, following resolution of the acute inflammation. Follow-up liver function tests remained within normal limits three months post-discharge. The patient was advised to receive Hepatitis A vaccination to prevent