Bullous Pemphigoid & DPP-4 Inhibitors: Case Report

Atypical presentations of bullous pemphigoid (BP), an autoimmune blistering skin disease typically affecting older adults, are increasingly being linked to certain medications, particularly dipeptidyl peptidase-4 (DPP-4) inhibitors used to treat type 2 diabetes. Recent case studies highlight a less common manifestation of this condition – a gingival-dominant presentation, where blistering primarily affects the gums – prompting further investigation into the association between these medications and autoimmune responses. Understanding these atypical presentations is crucial for prompt diagnosis and appropriate management.

Bullous pemphigoid is characterized by the formation of blisters in the skin, often affecting the limbs and trunk. Although traditionally associated with age, an increasing number of cases are being reported in patients taking DPP-4 inhibitors, a class of drugs widely prescribed for managing blood sugar levels in individuals with type 2 diabetes. The connection between DPP-4 inhibitors and BP was first noted several years ago, and research continues to explore the underlying mechanisms driving this association. According to a study published in 2018, patients with diabetes and DPP-4 inhibitor–associated BP have higher mucosal involvement and lower eosinophil counts than those with diabetes and BP not linked to the medication [1].

Understanding DPP-4 Inhibitors and Bullous Pemphigoid

Dipeptidyl peptidase-4 (DPP-4) inhibitors work by increasing the levels of incretin hormones, which stimulate insulin release and decrease glucagon secretion, ultimately helping to regulate blood glucose. Commonly prescribed DPP-4 inhibitors include sitagliptin, linagliptin, and vildagliptin. While generally well-tolerated, these medications have been increasingly implicated in triggering autoimmune reactions, including bullous pemphigoid. The exact mechanism by which DPP-4 inhibitors induce BP remains unclear, but theories suggest they may alter the immune system’s regulation, leading to the production of autoantibodies that target specific proteins in the skin.

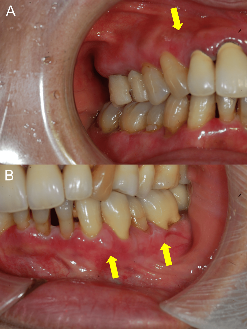
The typical clinical features of bullous pemphigoid include itchy, blistering skin, often starting on the limbs and trunk. However, the gingival-dominant presentation, as observed in recent case reports, presents a diagnostic challenge. In these cases, the initial and sometimes sole manifestation of BP is blistering and ulceration of the gums. This can mimic other oral conditions, such as lichen planus or mucous membrane pemphigoid, leading to delays in accurate diagnosis. A 2019 article in Frontiers in Immunology details the complexities of DPP-4 inhibitor-associated bullous pemphigoid, emphasizing the need for heightened awareness among dermatologists and oral health professionals [2].

Diagnostic Challenges and Treatment Approaches

Diagnosing gingival-dominant BP requires a high index of suspicion, particularly in patients with type 2 diabetes taking DPP-4 inhibitors. The diagnostic process typically involves a skin biopsy to examine for characteristic immune deposits, as well as blood tests to detect BP autoantibodies. However, it’s key to note that autoantibody testing may not always be positive, especially in the early stages of the disease or in cases with atypical presentations.

Treatment for DPP-4 inhibitor-associated BP generally involves discontinuing the suspected medication and initiating systemic corticosteroids, which suppress the immune system and reduce inflammation. In some cases, other immunosuppressant medications, such as mycophenolate mofetil or azathioprine, may be used as steroid-sparing agents. A study published in Diabetes Care in 2019 highlighted the uncertainties surrounding the association between DPP-4 inhibitors and bullous pemphigoid, calling for further research to establish definitive guidelines for management [3]. A case report published in ScienceDirect in 2023 details a patient with type 2 diabetes taking DPP-4 inhibitors who developed blisters on her gums, further illustrating the potential for oral manifestations [4].

Future Directions and Patient Considerations

As the use of DPP-4 inhibitors continues to rise, healthcare professionals must remain vigilant for potential adverse effects, including atypical presentations of bullous pemphigoid. Further research is needed to elucidate the precise mechanisms underlying the association between these medications and autoimmune disease, and to identify potential biomarkers that could predict which patients are at higher risk. Patients taking DPP-4 inhibitors who experience any unexplained blistering, particularly in the mouth, should promptly consult with their healthcare provider for evaluation.

The evolving understanding of DPP-4 inhibitor-associated bullous pemphigoid underscores the importance of ongoing pharmacovigilance and personalized medicine approaches. Continued monitoring of adverse event reports and prospective studies will be crucial for refining risk assessments and optimizing treatment strategies.

Disclaimer: This information is intended for general knowledge and informational purposes only, and does not constitute medical advice. It is essential to consult with a qualified healthcare professional for any health concerns or before making any decisions related to your health or treatment.

Have you or someone you realize experienced similar symptoms while taking DPP-4 inhibitors? Share your thoughts and experiences in the comments below.

Photo of author

Dr. Priya Deshmukh - Senior Editor, Health

Dr. Priya Deshmukh Senior Editor, Health Dr. Deshmukh is a practicing physician and renowned medical journalist, honored for her investigative reporting on public health. She is dedicated to delivering accurate, evidence-based coverage on health, wellness, and medical innovations.

Blues Dominate Moana Pasifika in Eden Park Derby | Super Rugby Pacific

SANDF Deployment: Tackling Crime Hotspots & Effectiveness Concerns | South Africa News

Leave a Comment

This site uses Akismet to reduce spam. Learn how your comment data is processed.