Deciphering Unravelable Headache in Acute Myeloid Leukemia: Addressing Coexisting Migraines and Chiari Malformation in Treatment Strategies

Unraveling Complex Headache Cases in Leukemia Patients


A recent case study is shedding light on the diagnostic difficulties surrounding persistent headaches in individuals battling acute myeloid leukemia (aml). The report details the experience of a patient whose intractable headaches were further elaborate by pre-existing conditions: chronic migraines and Chiari malformation.

The Intersection of Cancer, Headache Disorders, and Structural Abnormalities

Physicians are continually challenged by the multifaceted nature of pain management, especially in patients with serious underlying illnesses. This case involved a patient undergoing treatment for aml who presented with severe,unrelenting headaches that did not respond to typical pain relief measures. the diagnostic puzzle was complicated by the patient’s history of migraines and a structural abnormality known as chiari malformation, where brain tissue extends into the spinal canal.

Diagnostic Odyssey

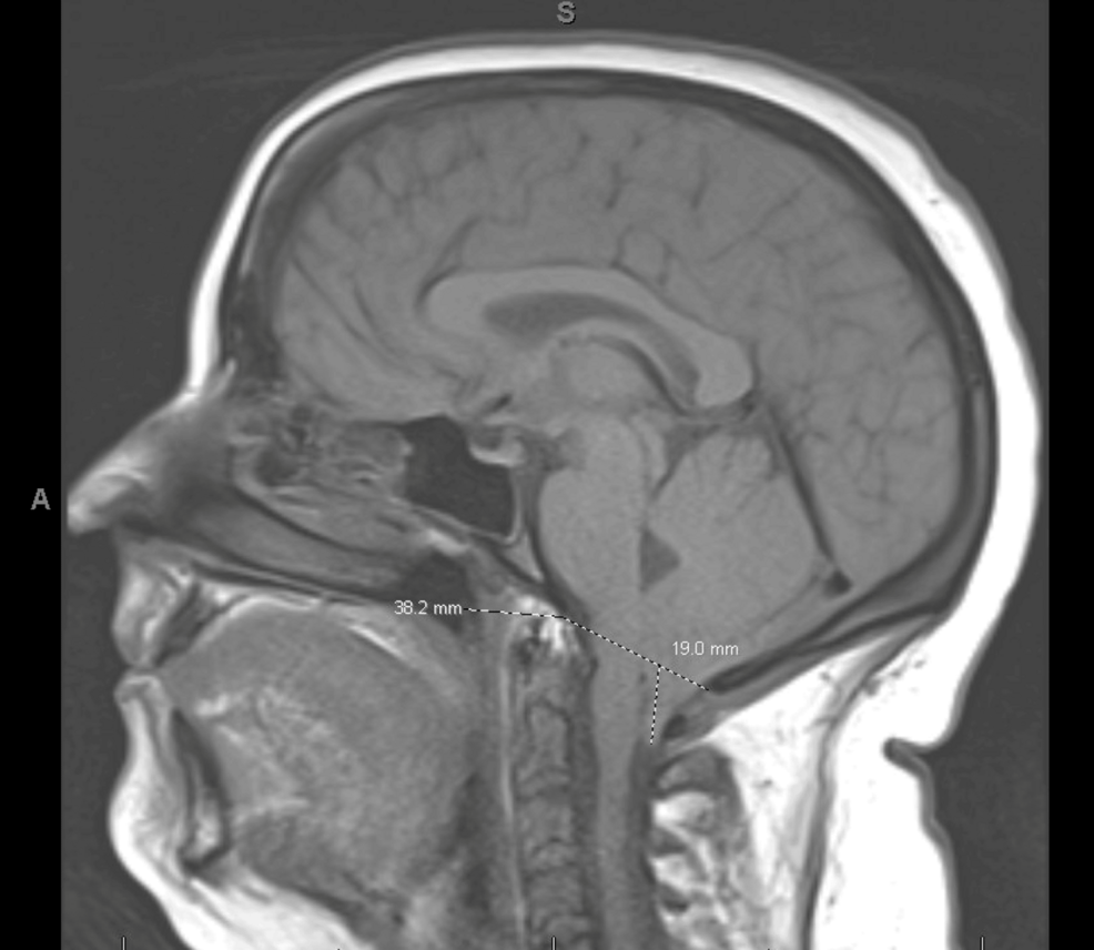
Initial assessments focused on potential causes directly related to the leukemia or its treatment. Though, comprehensive neurological evaluations, including magnetic resonance imaging (mri), revealed the confluence of multiple factors. The Chiari malformation,previously known,appeared to be contributing to the headache burden,while the migraines added another layer of complexity. Distinguishing between these sources of pain, and determining whether the leukemia itself was exacerbating the symptoms, proved to be a significant hurdle.

According to the National Cancer Institute, leukemia accounts for about 3.2% of all cancer cases in the United States.National Cancer Institute.

Treatment strategies and Considerations

The medical team adopted a multi-faceted approach to managing the patient’s headaches.This involved optimizing leukemia treatment to minimize potential neurological side effects, alongside targeted therapies for migraine prevention and pain control. The management of the Chiari malformation required careful consideration, balancing the risks and benefits of potential surgical interventions against the patient’s overall health status and ongoing cancer treatment.

Condition Key Characteristics Potential Impact on headache
Acute Myeloid Leukemia (aml) Cancer of the blood and bone marrow Can cause headaches directly or as a side effect of treatment.
Migraine Recurring headache, often with nausea and sensitivity to light and sound Contributes to chronic headache, complicating diagnosis.
Chiari Malformation Structural defect where brain tissue extends into the spinal canal Can cause headaches due to pressure on the brain and spinal cord.

Did You Know? Approximately 1 in 5 Americans experiences migraines, according to the American Migraine Foundation.

Pro Tip: Maintaining a detailed headache diary, recording triggers, pain intensity, and associated symptoms, can be invaluable for accurate diagnosis and effective management.

Understanding Intractable Headaches

intractable headaches, defined as headaches that do not respond to standard treatments, pose a significant challenge for both patients and healthcare providers. They can severely impact quality of life and often require specialized care. A variety of underlying conditions can contribute to intractable headaches, including neurological disorders, vascular abnormalities, and, as illustrated in this case, cancer and its treatment.

The key to effective management lies in accurate diagnosis, identifying and addressing contributing factors, and developing a personalized treatment plan.This often involves a team of specialists, including neurologists, oncologists, and pain management experts.

Frequently Asked Questions About Headaches and Leukemia

  • Can leukemia cause headaches? Yes, leukemia itself, as well as its treatment, can cause headaches.
  • How does chiari malformation contribute to headaches? Chiari malformation can cause headaches due to pressure on the brain and spinal cord.
  • What is the best way to manage headaches in leukemia patients? A multi-faceted approach involving optimizing cancer treatment,migraine prevention,and pain control is often most effective.
  • Are intractable headaches always a sign of a serious underlying condition? Not always, but they warrant thorough investigation to rule out any potential serious causes.
  • What should I do if I experience new or worsening headaches during cancer treatment? Report these symptoms to your healthcare provider promptly.

Do you think more research is needed to understand the link between cancer treatment and chronic headaches? Share your thoughts in the comments below!

What are the key diagnostic steps to differentiate between headaches caused directly by AML/treatment and those stemming from coexisting conditions like migraine or Chiari malformation?

Deciphering Unravelable Headache in Acute Myeloid Leukemia: Addressing Coexisting Migraines and Chiari malformation in Treatment Strategies

Understanding the Complex Headache Landscape in AML

Headaches are a frequent complaint among patients undergoing treatment for acute Myeloid Leukemia (AML).However, dismissing them as simply a side effect of chemotherapy or the disease itself can be a critical oversight. A critically important percentage of AML patients experience pre-existing or concurrent headache disorders like migraine, and a less common, but crucial, consideration is Chiari malformation. Effective AML headache management requires a nuanced approach that acknowledges thes coexisting conditions.Ignoring these factors can lead to delayed diagnosis, suboptimal pain control, and diminished quality of life. We need to differentiate between headaches caused by AML/treatment and headaches coexisting with AML.

AML-Related Headache Mechanisms

Before delving into co-morbidities,understanding how AML itself can induce headaches is vital. Several mechanisms are at play:

* Increased Intracranial Pressure (ICP): Leukemic infiltration of the central nervous system (CNS) – though relatively rare – can directly elevate ICP, causing a generalized headache. CNS leukemia requires immediate attention.

* Chemotherapy-Induced Headache: Many chemotherapeutic agents used in AML treatment (e.g., cytarabine, methotrexate) are known to cause headaches as a side effect.These are often tension-type or migraine-like.

* Infections: AML patients are profoundly immunocompromised, making them susceptible to infections (bacterial, fungal, viral) that can trigger headaches. Febrile neutropenia is a common culprit.

* Sinusitis: Chemotherapy can lead to mucosal inflammation, increasing the risk of sinusitis and associated headaches.

* Anemia: Severe anemia, common in AML, can contribute to headaches due to reduced oxygen delivery to the brain.

The Migraine-AML Intersection: A Common Challenge

migraine and AML frequently coexist. Approximately 15-20% of the general population experiences migraine, and this prevalence isn’t significantly different in AML patients prior to diagnosis. However, AML treatment can exacerbate existing migraine or even trigger new-onset migraine.

* Treatment as a Trigger: Chemotherapy, especially high-dose methotrexate, is a well-established migraine trigger.

* Altered Pain Threshold: AML and its treatment can lower the pain threshold, making patients more susceptible to headache.

* Medication Interactions: Careful consideration is needed when prescribing headache medications in AML patients due to potential interactions with chemotherapy drugs. such as, NSAIDs should be used cautiously due to myelosuppression risk.

* Diagnostic Challenges: Distinguishing between a chemotherapy-induced headache and a migraine attack can be difficult, delaying appropriate migraine-specific treatment. Migraine associated with cancer is a recognized entity.

Effective migraine management in AML requires:

  1. Detailed headache history before initiating treatment.
  2. Proactive migraine prophylaxis if a history of frequent or severe migraine exists.
  3. Judicious use of migraine-specific abortive medications (triptans, gepants, ditans) with careful monitoring for drug interactions.
  4. Consideration of non-pharmacological approaches like biofeedback and relaxation techniques.

Chiari Malformation: An Often Overlooked Factor

Chiari malformation is a structural defect in which brain tissue extends into the spinal canal. It’s estimated to affect 1-5% of the population, frequently enough remaining undiagnosed. In AML patients, a previously asymptomatic Chiari malformation can become symptomatic during treatment, or the treatment itself can worsen existing symptoms.

* Increased ICP & CSF flow Disruption: AML treatment, particularly intrathecal chemotherapy (methotrexate), can alter cerebrospinal fluid (CSF) dynamics and exacerbate Chiari-related symptoms.

* Syringomyelia: Chiari malformation can lead to the progress of a syrinx (fluid-filled cyst) within the spinal cord, causing chronic pain, weakness, and headaches.

* Diagnostic Considerations: Headaches associated with Chiari malformation are frequently enough occipital (back of the head) and worsened by coughing, straining, or bending over. MRI of the brain and spine is crucial for diagnosis.

* treatment Strategies: Management of Chiari malformation in AML patients is complex. Surgical decompression may be considered in severe cases, but the risks and benefits must be carefully weighed against the patient’s overall health and AML treatment plan. conservative management with pain control and physical therapy may be appropriate for milder cases.

Diagnostic Workup for AML-Related Headaches

A thorough diagnostic evaluation is essential to determine

Photo of author

Dr. Priya Deshmukh - Senior Editor, Health

Dr. Priya Deshmukh Senior Editor, Health Dr. Deshmukh is a practicing physician and renowned medical journalist, honored for her investigative reporting on public health. She is dedicated to delivering accurate, evidence-based coverage on health, wellness, and medical innovations.

Jeong Jinwoon Embodies North Korean Captain in Thrilling Film “Choir Of God

Upcoming Changes: Understanding Public Marijuana Use Regulations in Ohio

Leave a Comment

This site uses Akismet to reduce spam. Learn how your comment data is processed.