“`html
A recent medical case highlights the potential for unexpected complications, even from incidents that initially appear minor. Doctors have reported an unusual occurrence of extensive pneumocephalus in a patient after an accident involving an electric scooter.
The Incident and Initial Presentation
Table of Contents
- 1. The Incident and Initial Presentation
- 2. The Complexity of Extensive pneumocephalus
- 3. Understanding the Risks of Electric Scooter Accidents
- 4. Pneumocephalus: A Deeper Look
- 5. Frequently Asked Questions About Pneumocephalus
- 6. What are the primary injury mechanisms leading to pneumocephalus in electric scooter accidents?
- 7. Extensive Pneumocephalus Resulting from an Electric Scooter Accident: Clinical Insights and Management Strategies in Neurotrauma Care
- 8. Understanding Traumatic Pneumocephalus
- 9. Epidemiology and Injury Mechanisms in Electric scooter Accidents
- 10. clinical Presentation: recognizing the Signs
- 11. Diagnostic Evaluation: Imaging Modalities
- 12. Management strategies: A Tiered Approach
- 13. Specific Considerations for Electric Scooter Accidents
the patient, whose details have not been released to protect medical privacy, sustained injuries following a fall from an electric scooter. The initial assessment did not reveal any obvious signs of severe trauma. Though, subsequent imaging revealed a significant amount of air had entered the cranial cavity, resulting in a condition known as pneumocephalus.
Pneumocephalus, while rare, is typically associated with penetrating head injuries, skull fractures, or neurosurgical procedures. This case is notable because it arose from what would generally be considered a low-impactómico accident.
The Complexity of Extensive pneumocephalus
The amount of air present in the patient’s skull was described as “extensive,” raising concerns about potential neurological complications.According to a report published by the National Institutes of Health, pneumocephalus can lead to a range of issues, from headaches and vision changes to seizures and stroke if left untreated. The NIH also indicates that the size of the pneumocephalus and the patient’s overall health are key factors in determining the severity of the condition.
Doctors employed advanced imaging techniques to precisely map the extent of the air collection and carefully monitor the patient’s neurological status. Treatment involved a combination of supportive care, including oxygen therapy, and close observation to allow the air to be gradually reabsorbed by the body.
Understanding the Risks of Electric Scooter Accidents
The increasing popularity of electric scooters has also brought with it a rise in related injuries. Data from the U.S. Consumer Product Safety Commission (CPSC) shows that emergency departments treated approximately 28,000 electric scooter-related injuries in 2022, a significant increase from previous years. These injuries frequently involve fractures, sprains, and head trauma.
| Injury Type | Percentage of Scooter-Related ER Visits (2022) |
|---|---|
| Head Injuries | 22% |
| Fractómico | 36% |
| Sprains & Strains | 28% |
| Cuts & Lacerations | 14% |
Did You Know? Even seemingly minor falls can lead to unexpected medical complications, like pneumocephalus.
Pro Tip: Always wear a helmet when riding an electric scooter – it considerably reduces the risk of serious head injury.
Fortunately, in this particular case, the patient responded well to treatment and has shown signs of steady recovery. Medical professionals emphasize that this case serves as a reminder of the importance of thorough evaluation,even after minor-appearing accidents.
This unusual presentation of pneumocephalus underscores the need for increased awareness among both medical professionals and the public regarding the potential complications associated with electric scooter accidents.
Pneumocephalus: A Deeper Look
Pneumocephalus is a relatively rare condition, but it’s important to understand the underlying causes and potential symptoms. It occurs when air becomes trapped within the cranial cavity, often due to a breach in the dura mater-the tough membrane surrounding the brain and spinal cord. While sometiems benign and self-resolving, significant pneumocephalus can cause neurological deficits.
Risk factors are mostly associated with trauma, surgery, or congenital defects. Early diagnosis, often through CT scans or MRIs, is crucial for appropriate management. Treatment ranges from conservative observation to surgical intervention, depending on the severity and symptoms.
Frequently Asked Questions About Pneumocephalus
- What is pneumocephalus? It’s the presence of air within the cranial cavity, which can occur after head trauma or surgery.
- What causes pneumocephalus? Common causes include skull fractures, penetrating head injuries, and neurosurgical procedures.
- What are the symptoms of pneumocephalus? Symptoms can vary,but may include headaches,dizziness,vision changes,and neurological deficits.
- Is pneumocephalus always serious? Not always; small cases may resolve on their own, but large cases require medical attention.
- How is pneumocephalus diagnosed? typically diagnosed using CT scans or MRIs of the head.
- What is the treatment for pneumocephalus? Treatment depends on the severity and can range from observation to surgery.
- Can electric scooter accidents cause pneumocephalus? Yes, even though rare, a recent case demonstrates that even seemingly minor scooter accidents can lead to this condition.
Are you surprised by the potential severity of injuries from electric scooter accidents? What steps do you think could be taken to improve rider safety?
{
"@context": "https://schema.org",
"@type": "NewsArticle",
"headline": "Electric Scooter Accident Results in Extensive Pneumocephalus: A Rare Medical Case",
"image": [],
"datePublished
What are the primary injury mechanisms leading to pneumocephalus in electric scooter accidents?
Extensive Pneumocephalus Resulting from an Electric Scooter Accident: Clinical Insights and Management Strategies in Neurotrauma Care
Understanding Traumatic Pneumocephalus
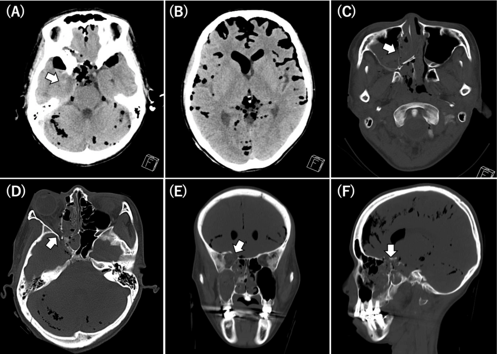
pneumocephalus, the presence of air within the cranial cavity, is a frequently observed finding in cases of head trauma. While often benign and self-limiting, extensive pneumocephalus - particularly following high-energy mechanisms like electric scooter accidents - demands immediate and meticulous neurotrauma care.This article details the clinical presentation, diagnostic approaches, and current management strategies for meaningful pneumocephalus in the context of scooter-related head injuries. Keywords: pneumocephalus, traumatic brain injury, electric scooter accident, neurotrauma, head injury, intracranial air.
Epidemiology and Injury Mechanisms in Electric scooter Accidents
The rising popularity of electric scooters has regrettably correlated with an increase in related injuries,notably head trauma. unlike traditional bicycle accidents, scooter falls often involve higher speeds and less protective gear. The mechanisms leading to pneumocephalus in these scenarios include:
Skull Fractures: Disruptions in the skull integrity, particularly basilar skull fractures, provide a direct pathway for air to enter the cranial space.
Dural Tears: The dura mater, the tough outer membrane covering the brain, can be torn during impact, creating a leak point for cerebrospinal fluid (CSF) and allowing air ingress.
Sinus fractures: Fractures of the paranasal sinuses (frontal, ethmoid, sphenoid, maxillary) can create a communication channel between the nasal cavity and the intracranial space.
Lacerations: Direct penetrating injuries, though less common in scooter accidents, can also introduce air.
clinical Presentation: recognizing the Signs
The clinical presentation of pneumocephalus varies widely, ranging from asymptomatic cases detected incidentally on imaging to life-threatening neurological deficits. Key symptoms to watch for include:
Headache: Often severe and may worsen with postural changes.
Neurological Deficits: Focal weakness, sensory changes, or cranial nerve palsies.
CSF rhinorrhea/Otorrhea: Leakage of clear fluid from the nose or ear, indicating a dural tear. Always test for beta-2 transferrin to confirm CSF.
Seizures: Can occur due to intracranial irritation.
Altered Mental Status: Confusion, lethargy, or coma.
Tension Pneumocephalus: A rare but critical complication characterized by increasing intracranial pressure, leading to neurological deterioration. Symptoms include headache, nausea, vomiting, and papilledema.
Diagnostic Evaluation: Imaging Modalities
Prompt and accurate diagnosis is crucial. The following imaging modalities are essential:
Computed Tomography (CT) Scan: The primary imaging modality for evaluating pneumocephalus. CT scans readily demonstrate the presence and location of intracranial air. Non-contrast CT is preferred initially.
Magnetic Resonance Imaging (MRI): More sensitive than CT for detecting small pneumoceles and subtle dural tears. MRI is particularly useful in evaluating chronic pneumocephalus.
High-Resolution CT (HRCT) of the Sinuses: Essential for identifying sinus fractures and assessing the extent of sinus involvement.
CSF Analysis: If CSF leak is suspected, analysis for glucose, protein, and beta-2 transferrin is vital to confirm CSF origin.
Management strategies: A Tiered Approach
Management of extensive pneumocephalus is guided by the patient's clinical status, the size and location of the pneumocephalus, and the presence of associated injuries.
- Conservative Management: For stable patients with small, asymptomatic pneumoceles, conservative management may be appropriate. This includes:
Oxygen Therapy: High-flow oxygen can accelerate air resorption.
Bed Rest with Head Elevation: Promotes venous drainage and reduces intracranial pressure.
Serial CT Scans: To monitor the size of the pneumocephalus and ensure no progression.
Prophylactic Antibiotics: To prevent meningitis,especially with open skull fractures or CSF leaks.
- Surgical Intervention: Indicated in the following scenarios:
Tension Pneumocephalus: Immediate decompression is required, typically with a burr hole or craniotomy.
Large or Expanding Pneumocephalus: Surgical repair of dural tears and/or skull fractures.
Persistent CSF Leak: Surgical closure of the dural defect.
Intracranial Hematoma: Evacuation of any associated hematomas.
Infected Pneumocephalus: Aggressive surgical debridement and antibiotic therapy.
Specific Considerations for Electric Scooter Accidents
High Index of Suspicion: Given the mechanism of injury, a high index of suspicion for pneumocephalus shoudl be maintained in all patients presenting after an electric scooter accident with head trauma.
* Associated Injuries: Electric scooter accidents frequently result in multiple injuries. A complete assessment for associated fractures (e.g., clavicle, wrist, lower extremity) and internal organ damage is essential