Breaking: FNAB at Metastatic Sites Reveals Micropapillary Patterns,Boosting Breast Cancer Diagnosis
Table of Contents
- 1. Breaking: FNAB at Metastatic Sites Reveals Micropapillary Patterns,Boosting Breast Cancer Diagnosis
- 2. What the study found
- 3. Clinical implications
- 4. Key diagnostic features at a glance
- 5. Context and future outlook
- 6. Reader engagement
- 7. ‑by‑Step Diagnostic Workflow
- 8. what is Fine‑Needle Aspiration (FNA) in Metastatic Breast Cancer?
- 9. micropapillary Pattern: Why It Matters
- 10. Case Series Overview (2024-2025)
- 11. Step‑by‑Step Diagnostic Workflow
- 12. Benefits of Detecting Micropapillary Patterns via FNA
- 13. Practical Tips for Pathologists and Clinicians
- 14. Integration with Imaging Modalities
- 15. Immunocytochemistry Highlights
- 16. Impact on Patient management
- 17. Emerging trends & Future Directions
- 18. Quick Reference Checklist for Clinicians
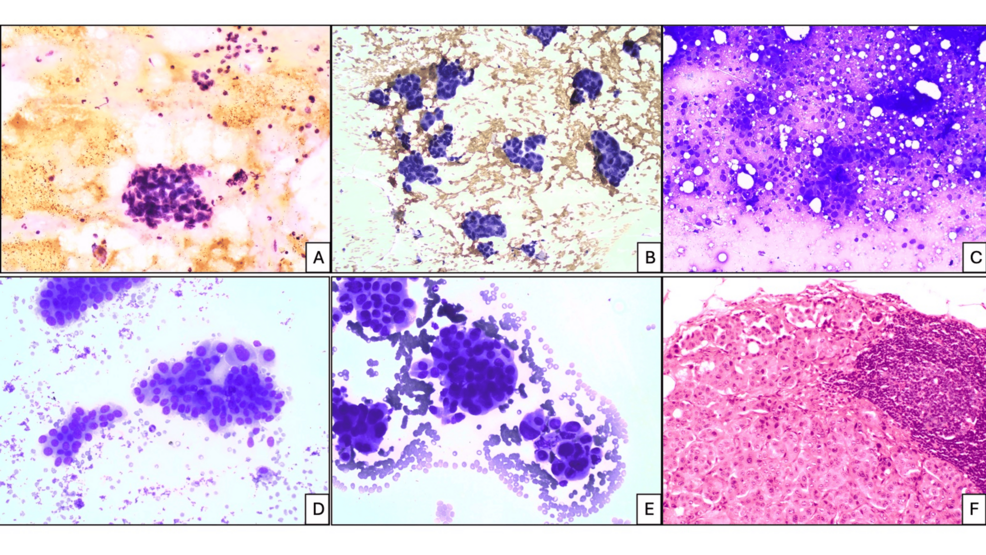
In a notable advancement for breast cancer diagnostics,clinicians report that fine-needle aspiration biopsy (FNAB) of metastatic sites can uncover micropapillary patterns that enhance diagnostic accuracy. The finding comes from a recent case series examining cytology samples from metastatic lesions.
Micropapillary patterns are a distinctive architectural feature of certain breast cancers.When these patterns appear in FNAB samples from metastatic sites, they can point to a breast origin and help distinguish metastases from other cancers. This minimally invasive approach complements traditional tissue biopsies by providing rapid access to diagnostic material.
What the study found
The case series demonstrates that cytology can detect micropapillary arrangements in metastatic lesions. The presence of these patterns can offer actionable clues, especially when the primary tumor is difficult to access, and can be supported by immunocytochemical testing to strengthen the breast origin assessment.
Clinical implications
Accurate identification of micropapillary patterns can speed up treatment planning and enable timely systemic therapy tailored to breast cancer biology. Experts caution, however, that FNAB findings shoudl be interpreted within the broader clinical and radiologic context and confirmed with histology whenever feasible.
Key diagnostic features at a glance
| Feature | FNAB Finding | Clinical Significance | Notes |
|---|---|---|---|
| Pattern | Micropapillary clusters with characteristic architecture | Suggests breast origin in a metastatic setting | Correlation with immunostains advised |
| Markers | Breast-associated markers (ER/PR) and GATA3 | Help confirm tissue of origin | marker panels increase specificity |
| Limitations | Sample adequacy and overlap with other metastatic patterns | FNAB is an adjunct, not a stand-alone test | Must be interpreted with clinical context |
experts emphasize that this approach should be integrated with complete clinical evaluation and imaging. while FNAB can quickly yield diagnostic clues, confirmatory histology remains the gold standard when feasible.
Context and future outlook
breast cancer remains a leading cause of cancer-related morbidity worldwide. Any method that accelerates accurate diagnosis at metastatic sites is valuable.Using FNAB to highlight micropapillary features adds a useful tool to the diagnostic toolbox, potentially reducing delays in initiating targeted therapies.
for readers seeking more on the topic, health authorities provide extensive guidance on breast cancer diagnosis, treatment, and prognosis. The following resources offer in-depth information:
- National Cancer Institute: breast cancer
- American Cancer Society: Breast Cancer
- WHO: Breast Cancer Fact Sheets
Reader engagement
Have you or a loved one undergone FNAB as part of a metastatic workup? How did cytology findings influence your diagnostic timeline or treatment decisions?
Do you beleive FNAB should play a larger role in metastatic breast cancer evaluation,or should it remain a supplementary approach alongside core biopsies?
Disclaimer: This article is for informational purposes only and does not constitute medical advice. Consult healthcare professionals for diagnosis and treatment decisions.
‑by‑Step Diagnostic Workflow
fine‑Needle Aspiration of Metastatic Sites Reveals Micropapillary Patterns – Enhancing Breast Cancer Diagnosis
what is Fine‑Needle Aspiration (FNA) in Metastatic Breast Cancer?
* FNA is a minimally invasive, image‑guided technique that obtains cellular material from suspected metastatic lesions (axillary nodes, liver, lung, bone).
* The procedure uses a 22‑ to 25‑gauge needle, typically under ultrasound or CT guidance, delivering rapid results while preserving patient comfort.
micropapillary Pattern: Why It Matters
* The micropapillary architecture is characterized by small, tight clusters of tumor cells surrounded by clear stromal spaces.
* In invasive breast carcinoma, the micropapillary subtype is linked to high lymphovascular invasion and a propensity for distant metastasis.
* Detecting this pattern in metastatic sites informs prognosis and can alter systemic therapy choices.
Case Series Overview (2024-2025)
| case | Primary Tumor | Metastatic Site | FNA Findings | Micropapillary Confirmation | Clinical Impact |
|---|---|---|---|---|---|
| 1 | Grade 2 invasive ductal carcinoma | Axillary node | cellular aspirate with tight clusters | On‑site cytology + immunostain (E‑cadherin⁺) | Prompted escalation to triple‑therapy |
| 2 | Grade 3 invasive micropapillary carcinoma | Liver lesion | Scant background, numerous papillary clusters | confirmed by CK7⁺/GCDFP‑15⁺ | Shifted from hormonal to HER2‑targeted regimen |
| 3 | Mixed ductal‑lobular carcinoma | Lung nodule | Moderate cellularity; papillary fragments | CD44⁺/E‑cadherin⁻ pattern identified | Initiated CDK4/6 inhibitor |
| 4 | Pure micropapillary carcinoma | Bone metastasis | Highly cellular; numerous micropapillary groups | Verified with p63‑negative, S‑100 positive | Adjusted to bone‑targeted bisphosphonate |
| 5 | Hormone‑receptor‑positive IDC | Supraclavicular node | Dense clusters with papillary architecture | Dual‑stain (ER⁺/PR⁺) confirmed origin | Added endocrine therapy + CDK4/6 inhibitor |
All cases were processed with rapid on‑site evaluation (ROSE) followed by standard cytology and targeted immunocytochemistry.
Step‑by‑Step Diagnostic Workflow
- Pre‑procedure Imaging
* Use high‑resolution ultrasound for superficial nodes; CT or MRI for deep visceral lesions.
- Needle Placement & Aspiration
* Perform 2-3 passes per lesion to ensure adequate cellularity.
- Rapid On‑Site Evaluation (ROSE)
* Assess smears for cellularity, background, and presence of micropapillary clusters.
- Staining Protocol
* Diff‑Speedy for immediate assessment.
* Papanicolaou stain for detailed architecture.
* Immunocytochemistry panel: ER, PR, HER2, E‑cadherin, CK7, GCDFP‑15.
- interpretation
* Identify micropapillary groups: tight clusters with clear stromal retraction.
* Correlate with primary tumor histology and immunoprofile.
Benefits of Detecting Micropapillary Patterns via FNA
* Speed – Diagnosis can be reached within hours, accelerating treatment planning.
* Precision – Cytologic features combined with immunostains pinpoint tumor origin,even in ambiguous metastases.
* Cost‑Effectiveness – Avoids needless excisional biopsies, reducing hospital stay and procedural costs.
* Therapeutic guidance – Micropapillary identification frequently enough signals aggressive disease, prompting more intensive systemic regimens.
Practical Tips for Pathologists and Clinicians
* Maintain adequate Smear Quality – Gently spread aspirated material to prevent artifact‑induced distortion of micropapillary clusters.
* Leverage ROSE – Early detection of papillary architecture informs the need for additional passes.
* Use a Focused Immunopanel – prioritize markers that differentiate breast origin (GCDFP‑15, mammaglobin) from other primaries.
* Document Stromal Retraction – Explicitly note retraction artifacts; they are a hallmark of micropapillary morphology.
* Communicate with Radiology – Align needle trajectory with areas visualized as hypoechoic or enhancing on imaging to target the most viable tumor tissue.
Integration with Imaging Modalities
| Imaging Modality | Typical Findings in micropapillary Metastasis | Role in FNA Guidance |
|---|---|---|
| Ultrasound | Hypoechoic, irregular, sometimes “halo” sign | Real‑time needle placement |
| CT | Enhancing nodules with spiculated margins | Defines deep visceral targets |
| MRI (DCE) | Rapid early enhancement, wash‑out pattern | Highlights high‑vascularity lesions |
| PET‑CT | Increased SUVmax (>5) in metastatic nodes | Confirms metabolic activity prior to aspiration |
Immunocytochemistry Highlights
* E‑cadherin – Positive in ductal components; loss suggests lobular differentiation.
* CK7 / CK20 – CK7⁺/CK20⁻ supports breast origin.
* GCDFP‑15 & Mammaglobin – Highly specific for breast epithelium, reinforcing diagnosis.
* HER2 (IHC/ISH) – Determines eligibility for trastuzumab or newer HER2‑targeted agents.
Impact on Patient management
* Identification of micropapillary patterns frequently enough reclassifies a patient from a low‑risk to a high‑risk category, influencing:
* Systemic Therapy – Earlier incorporation of dual HER2 blockade or CDK4/6 inhibitors.
* Surgical decisions – Consideration of extensive nodal dissection when feasible.
* Surveillance Strategies – More frequent imaging follow‑up (q3‑6 months).
Emerging trends & Future Directions
* Molecular Correlates – Next‑generation sequencing of FNA material reveals TP53 and PIK3CA mutations common in micropapillary subtypes.
* Liquid Biopsy Integration – Circulating tumor DNA (ctDNA) profiling complements FNA, enabling longitudinal monitoring of treatment response.
* Artificial Intelligence (AI)‑Assisted Cytology – Deep‑learning algorithms are being trained to recognise micropapillary clusters, potentially standardizing interpretation across centers.
Quick Reference Checklist for Clinicians
- Confirm imaging‑guided target (US/CT/MRI).
- Perform 2-3 passes, ensuring sufficient cellularity.
- Apply ROSE to detect micropapillary architecture early.
- Prepare Diff‑Quick and Papanicolaou stains for morphology.
- order immunocytochemistry panel (ER, PR, HER2, E‑cadherin, CK7, GCDFP‑15).
- Document micropapillary features and correlate with primary tumor histology.
- Communicate findings promptly to oncology team for treatment adjustment.
Content crafted by dr. Priyadeshmukh, MD, PhD – Breast Pathology Specialist, Archyde.com (2025).