Left Atrial Thrombosis & Mitral Valve: Anticoagulation Case

The Rising Threat of Silent Blood Clots After Heart Valve Replacement: Predicting a New Era of Vigilance

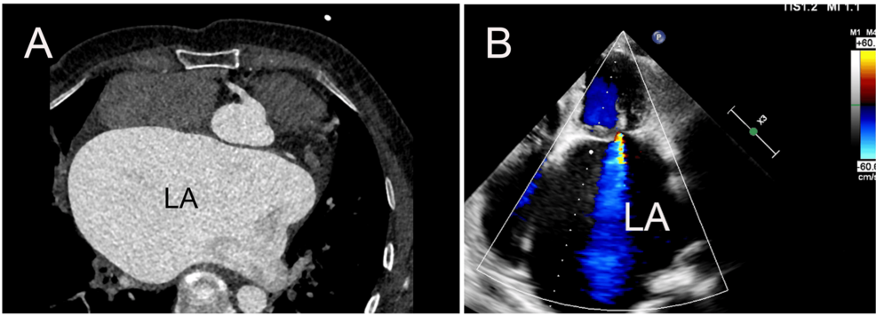
Imagine a scenario: a patient, recently fitted with a new mitral valve, experiencing a sudden, devastating stroke – not from a new blockage, but from a massive blood clot that formed silently within the heart itself. This isn’t a futuristic nightmare; it’s a growing concern highlighted by recent case reports, like that of Curet, and signals a potential shift in how we manage anticoagulation post-valve replacement. The incidence of left atrial thrombosis following mitral bioprosthetic valve replacement, particularly when anticoagulation is suboptimal, is a critical area demanding proactive attention.

Understanding the Silent Danger: Left Atrial Thrombosis

Mitral bioprosthetic valve replacement is a life-saving procedure for many patients with mitral valve disease. However, even with successful surgery, the risk of thromboembolic events – strokes, systemic emboli – remains. **Left atrial thrombosis** (LAT), the formation of blood clots within the left atrium, is a particularly dangerous complication. Unlike clots forming elsewhere in the circulatory system, LAT can be ‘silent’ – meaning they don’t cause immediate symptoms until they break loose and travel to vital organs. The case report by Curet underscores the potential for rapid, massive clot formation even with seemingly adequate, but ultimately suboptimal, anticoagulation.

The challenge lies in identifying patients at highest risk and tailoring anticoagulation strategies accordingly. Traditional approaches, relying on INR levels, may not always be sufficient. Factors like atrial fibrillation, left atrial size, and the specific type of bioprosthetic valve all play a role.

The Anticoagulation Balancing Act: A Shifting Landscape

Anticoagulation, typically with warfarin, is the cornerstone of preventing thromboembolic events after valve replacement. However, maintaining the delicate balance between preventing clots and avoiding bleeding complications is a constant challenge. Suboptimal anticoagulation, as seen in the Curet case, can quickly lead to devastating consequences. But even ‘optimal’ anticoagulation isn’t foolproof.

Pro Tip: Regularly discuss your anticoagulation management with your cardiologist. Don’t hesitate to ask questions about your INR levels, potential risk factors, and any new symptoms you experience.

The Rise of DOACs: A Potential Game Changer?

Direct Oral Anticoagulants (DOACs) – such as apixaban, rivaroxaban, and dabigatran – are increasingly being considered as alternatives to warfarin. While initially reserved for atrial fibrillation patients, research is exploring their role in post-valve replacement scenarios. Early studies suggest DOACs may offer a more predictable anticoagulation profile and potentially reduce bleeding risk. However, robust clinical trials specifically focused on mitral bioprosthetic valve recipients are still needed to establish definitive guidelines. The key question remains: can DOACs provide equivalent, or even superior, protection against LAT in this high-risk population?

Expert Insight: “The future of anticoagulation post-valve replacement isn’t simply about choosing between warfarin and DOACs,” says Dr. Eleanor Vance, a leading cardiologist specializing in valve disease. “It’s about personalized medicine – identifying individual patient risk factors and tailoring the anticoagulation strategy to minimize both thrombotic and bleeding events.”

Predicting Future Trends: Enhanced Monitoring and Personalized Strategies

Looking ahead, several key trends are likely to shape the management of LAT after mitral bioprosthetic valve replacement:

  • Advanced Imaging Techniques: Transesophageal echocardiography (TEE) remains the gold standard for detecting LAT, but its use is often limited to patients with specific symptoms. Future advancements in imaging, potentially including more sensitive TEE protocols or novel imaging modalities, could enable more routine and proactive screening.
  • Genetic Predisposition: Research is beginning to uncover genetic factors that influence an individual’s risk of thrombosis. Identifying these genetic markers could allow for more precise risk stratification and personalized anticoagulation dosing.
  • Artificial Intelligence (AI) and Machine Learning: AI algorithms can analyze vast amounts of patient data – including clinical history, imaging results, and genetic information – to predict the likelihood of LAT formation. This could lead to the development of personalized risk scores and automated alerts for patients requiring closer monitoring.
  • Novel Anticoagulants: The development of new anticoagulants with improved safety profiles and targeted mechanisms of action is ongoing. These next-generation drugs could offer a more effective and tailored approach to preventing LAT.

These advancements will likely converge to create a more proactive and personalized approach to managing LAT, moving beyond reactive treatment to preventative strategies.

The Role of Patient Education and Shared Decision-Making

Perhaps the most crucial trend is a greater emphasis on patient education and shared decision-making. Patients need to understand their individual risk factors, the importance of adhering to their anticoagulation regimen, and the signs and symptoms of potential complications. Open communication with their healthcare team is paramount.

Key Takeaway: Don’t be a passive recipient of care. Actively participate in discussions about your anticoagulation management and report any new or concerning symptoms to your doctor immediately.

Frequently Asked Questions

What are the symptoms of a blood clot after valve replacement?

Symptoms can vary depending on the location of the clot. Common signs include stroke-like symptoms (weakness, numbness, speech difficulties), shortness of breath, chest pain, and sudden abdominal pain.

How often should I have my INR checked if I’m on warfarin?

The frequency of INR checks will depend on your individual stability and your doctor’s recommendations. Initially, it may be checked several times a week, then gradually reduced to weekly or monthly as your INR stabilizes.

Are DOACs safe for patients with mechanical heart valves?

Currently, DOACs are generally not recommended for patients with mechanical heart valves due to a higher risk of stroke. Warfarin remains the standard of care for these patients.

What can I do to reduce my risk of blood clots?

Adhere to your prescribed anticoagulation regimen, maintain a healthy lifestyle (including regular exercise and a balanced diet), and report any new or concerning symptoms to your doctor promptly.

The case of massive left atrial thrombosis following mitral bioprosthetic valve replacement, as highlighted by Curet, serves as a stark reminder of the ongoing challenges in managing anticoagulation. By embracing innovation, prioritizing patient education, and fostering a collaborative approach to care, we can strive to minimize the risk of these devastating complications and improve outcomes for patients undergoing valve replacement. What steps will you take to ensure you are proactively managing your heart health?


Explore more insights on heart health in our comprehensive guide.

Read more articles in our Cardiology section.

Photo of author

Dr. Priya Deshmukh - Senior Editor, Health

Dr. Priya Deshmukh Senior Editor, Health Dr. Deshmukh is a practicing physician and renowned medical journalist, honored for her investigative reporting on public health. She is dedicated to delivering accurate, evidence-based coverage on health, wellness, and medical innovations.

Blue Jays vs. Rays: Rain Delay – 7:20 PM ET Start

Bank of England: Interest Rates Held Steady – Outlook?

Leave a Comment

This site uses Akismet to reduce spam. Learn how your comment data is processed.