Maxillary Mucoepidermoid Carcinoma: Rare Case & MAML2 Diagnosis

The Future of Maxillary Cancer Diagnosis: Beyond Traditional Biopsy with Liquid Biopsies and AI

Imagine a future where a simple blood test could detect aggressive maxillary cancer – even before symptoms appear. While currently a rare and often misdiagnosed condition, advancements in molecular diagnostics, particularly the use of MAML2 FISH testing and the burgeoning field of liquid biopsies, are poised to revolutionize how we identify and treat mucoepidermoid carcinoma (MEC) of the maxilla. A recent case study published in Cureus highlighted the diagnostic challenges and the crucial role of precise molecular testing, but this is just the beginning. We’re on the cusp of a new era where early detection and personalized treatment plans become the norm, dramatically improving patient outcomes.

The Diagnostic Odyssey: Why Maxillary MEC is Often Missed

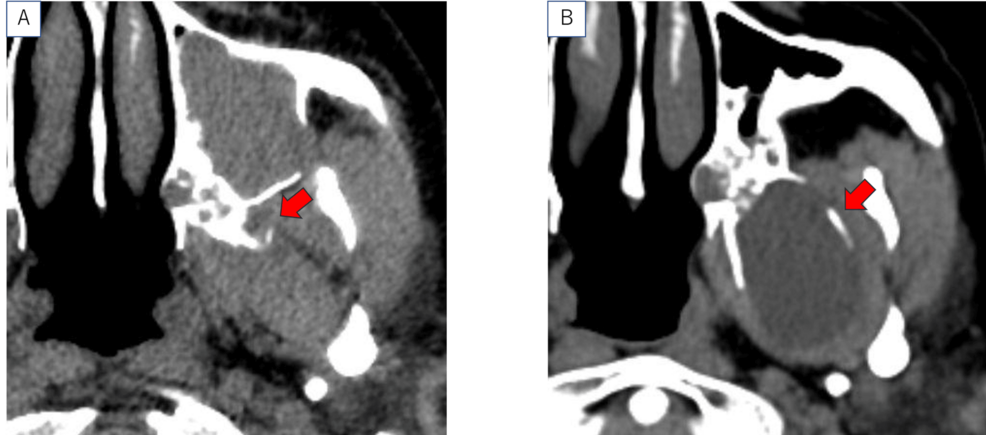
Mucoepidermoid carcinoma, while the most common malignant salivary gland tumor, presents unique challenges when located within the maxilla (upper jaw). Its slow growth and often non-specific symptoms can lead to initial misdiagnosis as benign lesions or other, more common conditions. Traditional diagnostic methods, relying heavily on biopsy and histopathological examination, can sometimes be inconclusive, especially in cases with limited tissue samples or atypical presentations. This is where Fluorescence In Situ Hybridization (FISH) testing for the MAML2 gene rearrangement becomes critical.

The Cureus case underscores this point. Initial assessments failed to pinpoint the MEC, highlighting the need for a broader diagnostic approach. MAML2 rearrangement is now recognized as a hallmark of MEC, and FISH testing provides a more definitive diagnosis, guiding appropriate treatment strategies. However, biopsies are invasive and may not always capture the full extent of the tumor’s genetic profile.

Liquid Biopsies: A Non-Invasive Revolution in Cancer Detection

Enter liquid biopsies – a game-changing technology that analyzes circulating tumor cells (CTCs) and circulating tumor DNA (ctDNA) in blood samples. These biomarkers offer a non-invasive window into the tumor’s genetic makeup, allowing for earlier detection, real-time monitoring of treatment response, and identification of emerging resistance mechanisms.

MAML2 rearrangement detection in ctDNA via liquid biopsy is rapidly becoming a reality. Researchers are developing highly sensitive assays capable of identifying even minute amounts of tumor-derived DNA in the bloodstream. This could allow for early detection in high-risk individuals, monitoring for recurrence after treatment, and tailoring therapy based on the tumor’s evolving genetic profile.

“Did you know?”: Liquid biopsies can detect cancer months or even years before traditional imaging techniques, potentially leading to significantly improved survival rates.

The Promise of Minimal Residual Disease (MRD) Monitoring

One of the most exciting applications of liquid biopsies is minimal residual disease (MRD) monitoring. After surgery or radiation therapy, ctDNA analysis can detect any remaining cancer cells, even at incredibly low levels. This information can help clinicians determine whether additional treatment is necessary, preventing recurrence and improving long-term outcomes.

AI and Machine Learning: Accelerating Diagnosis and Predicting Outcomes

The sheer volume of data generated by genomic sequencing and liquid biopsies requires sophisticated analytical tools. Artificial intelligence (AI) and machine learning (ML) are playing an increasingly important role in analyzing this data, identifying patterns, and predicting treatment response.

AI algorithms can be trained to recognize subtle genetic signatures associated with MEC, improving diagnostic accuracy and reducing the risk of misdiagnosis. ML models can also integrate clinical data, imaging findings, and genomic information to predict a patient’s prognosis and personalize treatment plans.

“Expert Insight:” Dr. Anya Sharma, a leading oncologist specializing in head and neck cancers, notes, “AI isn’t replacing clinicians, but it’s empowering us with the tools to make more informed decisions and deliver more precise, personalized care.”

Radiomics: Extracting Insights from Medical Images

Beyond genomic data, AI is also transforming the analysis of medical images. Radiomics involves extracting quantitative features from CT scans, MRIs, and PET scans to identify patterns that are invisible to the human eye. These features can be used to predict tumor aggressiveness, treatment response, and overall survival.

Future Trends and Implications for Patient Care

The convergence of MAML2 FISH testing, liquid biopsies, and AI is poised to dramatically reshape the landscape of maxillary MEC diagnosis and treatment. We can anticipate:

  • Earlier Detection: Routine screening with liquid biopsies in high-risk individuals could identify MEC at an earlier, more treatable stage.
  • Personalized Therapy: Genomic profiling will guide the selection of targeted therapies tailored to the specific genetic mutations driving each patient’s tumor.
  • Real-Time Monitoring: Liquid biopsies will allow for continuous monitoring of treatment response and early detection of recurrence.
  • Reduced Invasive Procedures: Liquid biopsies will minimize the need for repeat biopsies, reducing patient discomfort and complications.

“Pro Tip:” If you’re experiencing persistent facial pain, swelling, or numbness in the upper jaw, don’t hesitate to seek medical attention. Early diagnosis is crucial for successful treatment.

Frequently Asked Questions

What is MAML2 FISH testing?

MAML2 FISH testing is a molecular diagnostic technique used to detect rearrangements in the MAML2 gene, which are commonly found in mucoepidermoid carcinoma. It helps confirm the diagnosis and guide treatment decisions.

How does a liquid biopsy work?

A liquid biopsy involves analyzing a blood sample for circulating tumor cells (CTCs) and circulating tumor DNA (ctDNA). These biomarkers provide information about the tumor’s genetic makeup and can be used for early detection, monitoring, and treatment selection.

What role does AI play in cancer diagnosis?

AI algorithms can analyze complex genomic data and medical images to identify patterns, predict treatment response, and improve diagnostic accuracy. It’s a powerful tool for personalized cancer care.

Is liquid biopsy widely available?

While liquid biopsy technology is rapidly advancing, it’s not yet universally available. However, it’s becoming increasingly accessible as more clinical trials demonstrate its effectiveness and regulatory approvals are granted.

The future of maxillary cancer diagnosis is bright. By embracing these innovative technologies, we can move towards a more proactive, personalized, and effective approach to treating this challenging disease. What advancements in cancer diagnostics are you most excited about? Share your thoughts in the comments below!






Photo of author

Dr. Priya Deshmukh - Senior Editor, Health

Dr. Priya Deshmukh Senior Editor, Health Dr. Deshmukh is a practicing physician and renowned medical journalist, honored for her investigative reporting on public health. She is dedicated to delivering accurate, evidence-based coverage on health, wellness, and medical innovations.

Romania vs Moldova: Friendly Football Result & Highlights

Sword Dragon Fossil: New UK Species Unearthed!

Leave a Comment

This site uses Akismet to reduce spam. Learn how your comment data is processed.