Medical Specialties List | Choose Your Profession

Managing anesthesia for patients with existing cardiovascular conditions presents unique challenges for medical teams. A recent case report highlights the successful anesthetic management of a laparoscopic surgery performed on a patient with an uncomplicated Type B aortic dissection. This case underscores the importance of careful pre-operative assessment, meticulous intraoperative monitoring, and a collaborative approach to minimize cardiovascular risk during surgery.

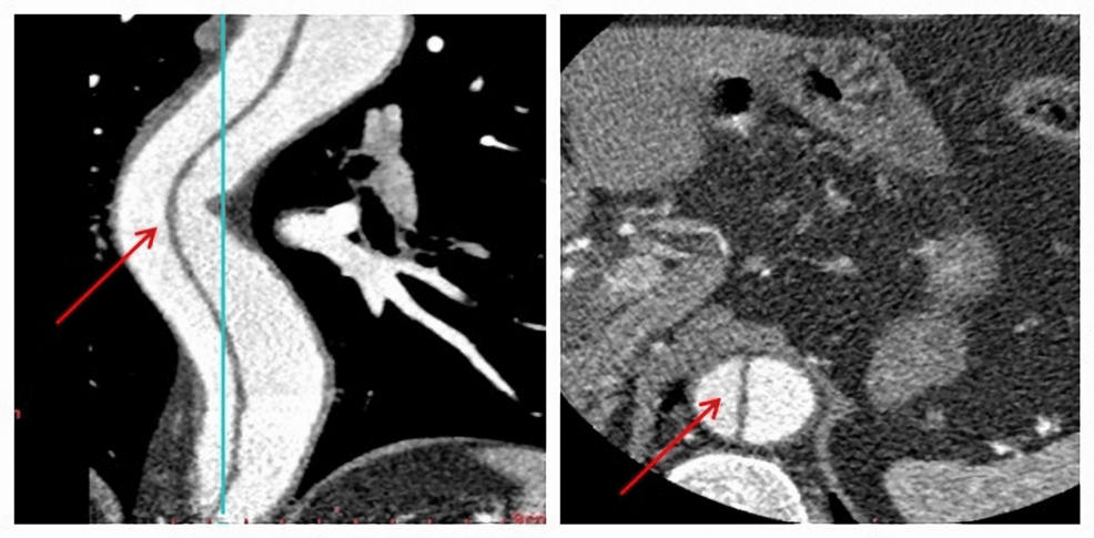
Aortic dissection, a life-threatening condition involving a tear in the inner layer of the aorta, requires careful consideration when planning any surgical intervention. Type B aortic dissections, specifically, affect the descending aorta. While laparoscopic surgery is often favored for its minimally invasive nature, the potential for hemodynamic instability during the procedure necessitates a tailored anesthetic approach. The case report details a strategy focused on maintaining stable blood pressure and heart rate throughout the operation, ultimately leading to a positive patient outcome.

Understanding the Cardiovascular Risks

Patients with aortic dissection are particularly vulnerable to changes in blood pressure and heart rate. Elevated blood pressure can exacerbate the dissection, potentially leading to rupture or malperfusion of vital organs. Conversely, hypotension can compromise organ perfusion. Anesthetic management must prioritize hemodynamic stability. According to research published in Circulation Research, inflammation plays a significant role in the progression of aortic dissection and associated cardiovascular disease .

The case report emphasizes the importance of a thorough pre-operative evaluation, including detailed imaging studies to assess the extent of the dissection and identify any potential complications. This assessment informs the selection of appropriate anesthetic agents and monitoring strategies.

Anesthetic Techniques Employed

The anesthetic approach described in the case report involved a combination of techniques designed to minimize cardiovascular stress. Regional anesthesia, when feasible, can reduce the need for systemic anesthetic agents and their associated hemodynamic effects. In this instance, a multimodal approach was utilized, incorporating careful titration of intravenous anesthetics and vasopressors to maintain stable blood pressure and heart rate.

Continuous monitoring of vital signs, including arterial blood pressure, heart rate, electrocardiogram (ECG), and oxygen saturation, is crucial throughout the procedure. Transesophageal echocardiography (TEE) can provide real-time assessment of cardiac function and aortic flow, allowing for early detection of any hemodynamic compromise. The use of vasopressors, medications that constrict blood vessels and raise blood pressure, was carefully managed to avoid excessive increases in afterload, which could strain the dissected aorta.

The Role of Minimally Invasive Surgery

Laparoscopic surgery, with its smaller incisions and reduced tissue trauma, offers potential advantages over traditional open surgery in patients with aortic dissection. The minimally invasive approach can lead to less blood loss, reduced pain, and a faster recovery. However, the pneumoperitoneum – the inflation of the abdominal cavity with carbon dioxide to create space for the surgical instruments – can also have hemodynamic effects, including increased systemic vascular resistance and decreased venous return. The anesthetic team must be prepared to counteract these effects with appropriate fluid management and vasopressor support.

Research indicates that patients infected with HIV show an increased prevalence of allergic rhinitis, adverse drug reactions, and noninfectious pulmonary complications, which can further complicate anesthetic management . While not directly related to aortic dissection, this highlights the importance of considering potential comorbidities when developing an anesthetic plan.

Future Directions and Considerations

This case report contributes to the growing body of knowledge regarding anesthetic management of patients with aortic dissection undergoing laparoscopic surgery. Further research is needed to refine anesthetic protocols and optimize patient outcomes. The development of standardized guidelines, based on evidence-based practice, could support ensure consistent and high-quality care for these complex patients. As advancements in aortic imaging and surgical techniques continue, the anesthetic approach will need to evolve accordingly.

The successful management of this case demonstrates the importance of a multidisciplinary approach, involving surgeons, anesthesiologists, and cardiologists, working collaboratively to provide optimal care. Continued vigilance and a commitment to individualized patient management are essential for minimizing risks and improving outcomes in patients with aortic dissection.

Disclaimer: This article provides informational content only and is not intended to be a substitute for professional medical advice. Always consult with a qualified healthcare provider for diagnosis and treatment of any medical condition.

Have you or a loved one faced similar challenges with cardiovascular conditions and surgery? Share your thoughts and experiences in the comments below.

Photo of author

Dr. Priya Deshmukh - Senior Editor, Health

Dr. Priya Deshmukh Senior Editor, Health Dr. Deshmukh is a practicing physician and renowned medical journalist, honored for her investigative reporting on public health. She is dedicated to delivering accurate, evidence-based coverage on health, wellness, and medical innovations.

Universal CityWalk AMC Celebrates Cinema History – Los Angeles

GDPR Access Denied: Why You Can’t View This Site

Leave a Comment

This site uses Akismet to reduce spam. Learn how your comment data is processed.