Peri-Implant Fracture: 2nd Fracture After Trochanteric Fixation

The Rising Tide of Peri-Implant Fractures: Predicting a Shift in Orthopedic Revision Strategies

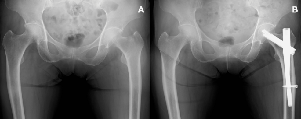
Imagine a future where hip replacement revision surgeries are increasingly driven not by implant wear or infection, but by fractures *around* the implant itself. This isn’t science fiction. A recent case study published in Cureus details a second non-prosthetic peri-implant femoral fracture (PIFF) following plating for a primary PIFF after a trochanteric femoral fracture – a complex scenario highlighting a potentially growing challenge in orthopedic surgery. This isn’t an isolated incident; the increasing prevalence of these fractures, particularly in an aging population with higher rates of osteoporosis and complex medical histories, demands a proactive re-evaluation of surgical techniques and implant designs.

Understanding the Peri-Implant Fracture Challenge

A peri-implant fracture, as the name suggests, is a break in the bone surrounding a prosthetic implant, rather than a failure of the implant itself. These fractures are becoming more common, especially after hip replacement surgery. The Cureus case report underscores a particularly concerning trend: the occurrence of *secondary* PIFFs after initial attempts at fixation. This suggests that standard plating techniques may not always provide sufficient long-term stability, especially in patients with compromised bone quality. The initial fracture, often a trochanteric fracture, weakens the bone stock, and subsequent stress can lead to further fractures around the implant.

Several factors contribute to this rising incidence. An aging population naturally experiences decreased bone density, increasing fracture risk. Furthermore, the increasing complexity of patient comorbidities – such as diabetes and rheumatoid arthritis – can impair bone healing and increase the likelihood of peri-implant fractures. Finally, the growing number of hip replacement surgeries performed annually inevitably leads to a higher absolute number of these complications.

The Role of Bone Quality and Implant Design

Bone quality is paramount. Patients with osteoporosis or osteopenia are significantly more susceptible to PIFFs. Preoperative assessment of bone mineral density is crucial, and surgeons may need to consider augmentation techniques, such as bone grafting or the use of cement, to enhance fixation. However, even with these measures, the long-term durability of fixation remains a concern.

Implant design also plays a critical role. Traditional hip implants may not adequately distribute stress around the femoral neck, creating areas of concentrated load that can predispose to fracture. Newer implant designs, incorporating features like tapered stems and optimized neck geometry, aim to improve stress shielding and reduce the risk of PIFFs.

Future Trends in Peri-Implant Fracture Management

Looking ahead, several key trends are likely to shape the management of peri-implant fractures:

Advanced Imaging and Predictive Modeling

Current imaging techniques, such as X-rays, may not always detect subtle bone weakening or stress fractures. Advanced imaging modalities, like finite element analysis (FEA) coupled with CT scans, can provide a more detailed assessment of bone biomechanics and identify patients at high risk of PIFFs. This allows for proactive intervention and personalized treatment planning.

Biologic Augmentation and Bone Regeneration

Rather than relying solely on mechanical fixation, future strategies will increasingly focus on enhancing bone healing and regeneration. This includes the use of bone morphogenetic proteins (BMPs), platelet-rich plasma (PRP), and other biologic agents to stimulate bone growth and improve fracture consolidation. Research into novel biomaterials that promote bone ingrowth is also promising.

Robotic-Assisted Surgery and Precision Fixation

Robotic-assisted surgery offers the potential for greater precision in implant placement and fracture fixation. Robotic systems can help surgeons achieve optimal implant alignment and screw trajectory, minimizing stress concentrations and maximizing fixation stability. This is particularly valuable in complex cases with challenging anatomy.

Personalized Implant Design

The “one-size-fits-all” approach to hip implants is becoming increasingly outdated. Future implants may be custom-designed based on a patient’s individual anatomy, bone quality, and activity level. 3D printing technology is enabling the creation of patient-specific implants that provide a more precise fit and optimal biomechanical performance.

Implications for Revision Surgery

The increasing incidence of PIFFs will inevitably lead to a rise in hip revision surgeries. However, revising a fractured peri-implant region presents unique challenges. The bone may be severely weakened, making it difficult to achieve stable fixation. Furthermore, the presence of previous implants can complicate the surgical approach.

Surgeons may need to consider more extensive revision procedures, such as femoral bone grafting or the use of longer stems to bypass the fractured area. In some cases, a complete femoral reconstruction may be necessary. The Cureus case report highlights the potential for failure even with initial plating, suggesting that more aggressive revision strategies may be warranted in certain situations.

The Role of Minimally Invasive Techniques

While complex revisions often require open surgical approaches, minimally invasive techniques can be beneficial in select cases. Minimally invasive surgery can reduce soft tissue damage, blood loss, and postoperative pain, potentially leading to faster recovery and improved outcomes. However, careful patient selection and meticulous surgical technique are essential.

Frequently Asked Questions

What is a peri-implant fracture?

A peri-implant fracture is a break in the bone surrounding a prosthetic implant, such as a hip replacement. It’s different from a failure of the implant itself.

Who is at risk for a peri-implant fracture?

Individuals with osteoporosis, osteopenia, diabetes, rheumatoid arthritis, or a history of previous fractures are at higher risk. Older adults are also more susceptible.

How are peri-implant fractures treated?

Treatment options range from non-surgical management (e.g., bracing, pain medication) to surgical fixation with plates, screws, or revision hip replacement.

Can peri-implant fractures be prevented?

While not always preventable, optimizing bone health, careful implant selection, and precise surgical technique can significantly reduce the risk.

The future of peri-implant fracture management lies in a proactive, personalized approach that combines advanced imaging, biologic augmentation, and precision surgical techniques. By anticipating these challenges and embracing innovation, orthopedic surgeons can improve outcomes and enhance the quality of life for patients undergoing hip replacement surgery. What are your predictions for the evolution of peri-implant fracture care? Share your thoughts in the comments below!

Photo of author

Dr. Priya Deshmukh - Senior Editor, Health

Dr. Priya Deshmukh Senior Editor, Health Dr. Deshmukh is a practicing physician and renowned medical journalist, honored for her investigative reporting on public health. She is dedicated to delivering accurate, evidence-based coverage on health, wellness, and medical innovations.

U17 Women’s South American Champions: Undefeated!

Atlantic Crater: 5-Mile Asteroid Impact Revealed!

Leave a Comment

This site uses Akismet to reduce spam. Learn how your comment data is processed.