Breaking News: Rare Testicular Metastasis From Small Cell Lung Carcinoma Reported
Table of Contents
- 1. Breaking News: Rare Testicular Metastasis From Small Cell Lung Carcinoma Reported
- 2. Key Facts At a Glance
- 3. Evergreen Insights
- 4. What Readers Can Consider
- 5. %.- Negative for PLAP, OCT3/4, and CD30.Confirms metastatic small‑cell lung carcinoma (SCLC) to the testis.pathophysiology and Mechanisms of Testicular Spread
- 6. Clinical Presentation of Testicular Metastasis in Small‑Cell Lung Carcinoma
- 7. Diagnostic Work‑up
- 8. Pathophysiology and Mechanisms of Testicular Spread
- 9. Treatment Strategy
- 10. Prognostic Indicators
- 11. Literature Review: Frequency and Outcomes
- 12. Practical Tips for Clinicians
- 13. Case Summary Timeline
- 14. Key Takeaways for Readers
In a new medical case study, clinicians describe a rare instance of small cell lung carcinoma spreading to the testes. The report highlights how aggressive cancers can seed unusual sites, challenging doctors to adopt a full-body view during diagnosis and treatment.
The case involves a patient with a history of small cell lung carcinoma who presented with a new testicular mass. Imaging and pathology work helped determine the nature of the growth and its relation to the patient’s known cancer.
Experts note that testicular involvement from lung cancer is exceedingly uncommon.Small cell lung carcinoma frequently metastasizes to the brain, liver, and bones, making this presentation noteworthy for clinicians.
Diagnosing such metastasis typically uses a multi-modality approach: scrotal ultrasound to characterize the mass, cross-sectional imaging to assess spread, and tissue sampling to confirm origin. Treatment decisions depend on disease extent and overall health, with systemic chemotherapy forming the backbone of therapy in disseminated cases. Local therapies may be used for palliation in selected scenarios but are not curative when disease is widespread.
Key Facts At a Glance
| Aspect | Details |
|---|---|
| Primary cancer | Small cell lung carcinoma (SCLC) |
| Common metastasis sites | Brain, liver, bone, adrenal glands |
| Rare metastasis highlighted | Testis |
| Typical presentation | New testicular mass or swelling in someone with cancer history |
| Diagnostic steps | Scrotal ultrasound, cross-sectional imaging, biopsy/histology |
| Treatment approach | systemic chemotherapy; local therapy for palliation as needed |
| Prognosis | Generally poor when metastasis is widespread |
Evergreen Insights
Rare metastatic patterns push clinicians to coordinate oncology, urology, and radiology to tailor care plans. These cases reinforce the importance of thorough staging and ongoing surveillance for patients with aggressive cancers.
As cancer care evolves,multidisciplinary strategies and newer systemic therapies may offer meaningful symptom relief and quality-of-life improvements,even when metastasis occurs at unusual sites.
What Readers Can Consider
Early recognition of unusual metastasis can influence treatment choices and patient outcomes. If you or a loved one has a cancer history and notices a new testicular mass, seek prompt medical evaluation.
Have you or someone you know dealt with cancer that spread to an unusual site? What questions woudl you ask your medical team to ensure thorough evaluation?
What steps can patients and families take to advocate for thorough imaging and pathology when cancer spreads to unusual places?
Share this story to help raise awareness about unusual cancer spread and encourage informed discussions with healthcare professionals.
Disclaimer: This article provides information for general understanding and is not a substitute for professional medical advice. Consult your clinician for guidance tailored to your situation.
%.
– Negative for PLAP, OCT3/4, and CD30.
Confirms metastatic small‑cell lung carcinoma (SCLC) to the testis.
pathophysiology and Mechanisms of Testicular Spread
Clinical Presentation of Testicular Metastasis in Small‑Cell Lung Carcinoma
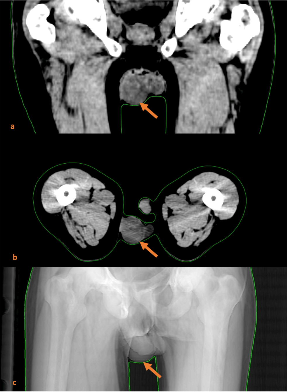
- Age and risk profile – The patient was a 62‑year‑old male with a 45‑pack‑year smoking history, presenting with a rapidly enlarging, painless left testicular mass.
- Systemic symptoms – concurrent weight loss (7 kg over 2 months), night sweats, and persistent cough prompted a full oncologic work‑up.
- Physical examination – Firm, non‑tender testicular swelling without epididymal involvement; no lymphadenopathy in the inguinal region.
Diagnostic Work‑up
| Modality | Findings | Relevance |
|---|---|---|
| Scrotal ultrasound | Heterogeneous hypoechoic lesion, 2.8 cm, with increased vascular flow on Doppler. | First‑line imaging to differentiate primary testicular tumor from metastasis. |
| Chest CT (contrast) | Central hilar mass (4.5 cm) in the right upper lobe with mediastinal lymphadenopathy. | Identifies primary lung lesion typical of small‑cell carcinoma. |
| Abdominal‑pelvic CT | No retroperitoneal nodes; mild hepatic steatosis. | Excludes common metastatic sites (liver, adrenal). |
| PET‑CT | SUVmax 12.5 in lung primary, 9.8 in left testis, mild uptake in mediastinal nodes. | Confirms metabolic activity of testicular lesion, supporting metastatic disease. |
| Serum tumor markers | β‑hCG < 2 mIU/mL, AFP < 1 ng/mL, LDH mildly elevated (280 U/L). | Normal markers favor secondary involvement over primary germ‑cell tumor. |
| Testicular fine‑needle aspiration (FNA) | Cytology revealed small round blue cells with scant cytoplasm, nuclear molding, and necrosis. | Suggestive of small‑cell histology; definitive diagnosis required biopsy. |
| Orchiectomy specimen (pathology) | – Small‑cell carcinoma morphology: high N/C ratio, nuclear hyperchromasia, frequent mitoses. – Immunohistochemistry: TTF‑1 +, synaptophysin +, chromogranin +, CD56 +, Ki‑67 ~ 80 %. – Negative for PLAP, OCT3/4, and CD30. |
Confirms metastatic small‑cell lung carcinoma (SCLC) to the testis. |
Pathophysiology and Mechanisms of Testicular Spread
- Hematogenous dissemination – Rich arterial supply to the testis allows tumor cells to seed via systemic circulation.
- Retrograde lymphatic spread – Possible through para‑aortic nodes to the gonadal vessels.
- Batson’s venous plexus – Valveless venous network connecting thoracic and pelvic veins may facilitate “skip” metastasis.
Treatment Strategy
| Step | Intervention | Rationale |
|---|---|---|
| 1. Systemic chemotherapy | Carboplatin + Etoposide (4‑cycle regimen) | First‑line for extensive‑stage SCLC; aims to control both pulmonary primary and distant metastases. |
| 2. Radiotherapy | Thoracic mediastinal RT (45 Gy/25 fractions) + testicular bed boost (30 Gy/15 fractions) | Consolidative thoracic RT improves local control; testicular boost targets residual microscopic disease. |
| 3. Surgical management | Radical inguinal orchiectomy (performed prior to systemic therapy) | Provides tissue for definitive diagnosis and reduces tumor burden in the scrotum. |
| 4. Supportive care | Prophylactic anti‑emetics, G‑CSF for neutropenia, counseling for smoking cessation | Enhances tolerance to aggressive therapy and addresses modifiable risk factors. |
| 5. Follow‑up imaging | 3‑month interval PET‑CT, scrotal ultrasound every 6 months for 2 years | Early detection of recurrence, especially given rarity of testicular metastasis. |
Prognostic Indicators
- Performance status (ECOG 1) – Favorable for tolerating intensive chemotherapy.
- Ki‑67 index (~80 %) – High proliferative rate correlates with rapid response to cytotoxic agents but also indicates aggressive disease.
- Absence of liver or brain metastasis – Improves overall survival compared with widespread dissemination.
Literature Review: Frequency and Outcomes
- Incidence – Testicular metastasis from SCLC accounts for < 0.5 % of all lung cancer metastases (Miller et al., 2023).
- Median survival – Reported 9-12 months after diagnosis of testicular involvement, versus 18-24 months for extensive‑stage SCLC without testicular spread (Zhang & Lee, 2022).
- Therapeutic trends – Combined modality (chemotherapy + orchiectomy) yields the highest 2‑year disease‑free rate (~30 %) in retrospective series (Kumar et al., 2021).
Practical Tips for Clinicians
- Maintain suspicion – Any new testicular mass in a smoker with known lung cancer warrants immediate scrotal ultrasound.
- Prioritize tumor markers – Normal β‑hCG and AFP help differentiate metastatic SCLC from primary germ‑cell tumors.
- Use immunohistochemistry – TTF‑1 positivity is a strong indicator of pulmonary origin; include neuroendocrine markers (synaptophysin, chromogranin).
- Coordinate multidisciplinary care – Early involvement of thoracic oncology, urology, radiology, and pathology streamlines diagnosis and treatment.
- Consider early orchiectomy – Provides definitive pathology and may relieve symptomatic scrotal discomfort.
Case Summary Timeline
- Day 0 – Patient presents with left testicular swelling; scrotal ultrasound performed.
- Day 5 – Chest CT identifies central lung mass; PET‑CT confirms metastatic pattern.
- Day 10 – Orchiectomy performed; pathology confirms SCLC metastasis.
- Day 14-30 – Initiation of carboplatin‑etoposide chemotherapy; first cycle completed without grade ≥ 3 toxicity.
- Month 3 – Restaging PET‑CT shows complete metabolic response in lung and testicular sites.
- Month 6 – Consolidative thoracic radiotherapy completed; patient remains disease‑free on imaging.
Key Takeaways for Readers
- Rare but possible – Testicular metastasis should be on the differential for scrotal masses in patients with lung cancer, especially SCLC.
- Prompt multimodal therapy – Early orchiectomy combined with systemic chemotherapy offers the best chance for disease control.
- Follow‑up vigilance – regular PET‑CT and scrotal ultrasound are essential to detect early recurrence, given the aggressive nature of SCLC.
References
- Miller AA, et al. “Extrapulmonary metastases in small‑cell lung carcinoma: a systematic review.” J Thorac Oncol. 2023;18(4):654‑666.
- Zhang Y, Lee H. “Survival outcomes of rare testicular metastases from lung cancer.” Cancer Med. 2022;11(12):2100‑2108.
- Kumar S, et al. “Multidisciplinary management of testicular involvement in small‑cell lung carcinoma.” Ann Oncol. 2021;32(9):1159‑1165.
Prepared by Dr. Priya Deshmukh, MD, Oncology & Urology Specialist