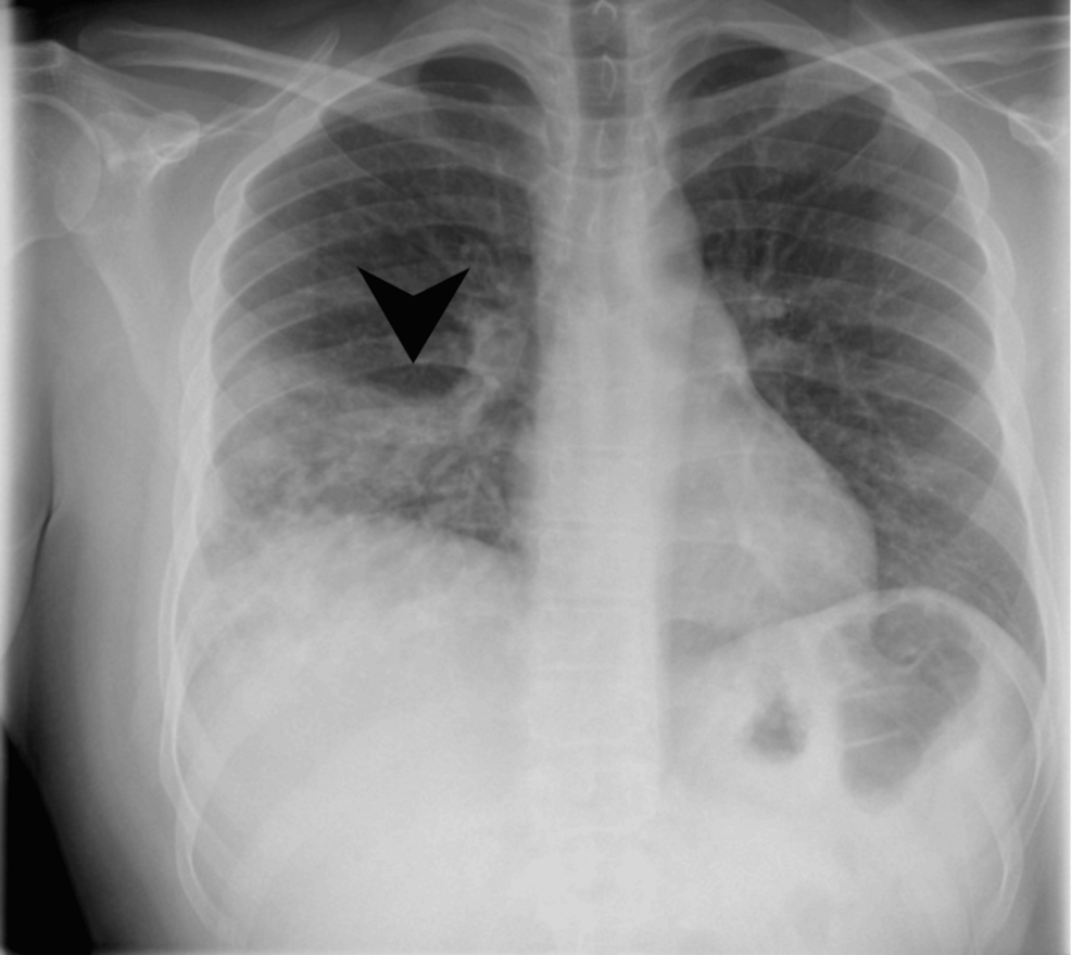
Rasmussen Aneurysm Complicated by Fungal Infection and Tuberculosis in a Young Adult

“`html


Unusual Tuberculosis complication: Fungal Co-infection Linked to Rasmussen’s Aneurysm in Healthy Young Adult

A recent medical report details an extraordinarily rare case involving a healthy young adult who developed a Rasmussen’s aneurysm. This unusual complication was further compounded by a co-infection with a fungal pathogen, alongside tuberculosis.

The case highlights the complex interplay of infections and their potential to manifest in unexpected ways. Tuberculosis, a bacterial disease primarily affecting the lungs, is known for its diverse clinical presentations. Tho, its association with arterial inflammation leading to aneurysms, especially in a young, or else healthy individual, is highly uncommon.

Adding another layer of complexity, the presence of a fungal co-infection alongside tuberculosis suggests a compromised immune state or a particularly aggressive form of disease. Fungal infections,when they occur concurrently with bacterial infections like tuberculosis,can significantly complicate diagnosis and treatment.

Rasmussen’s aneurysm, a rare inflammatory condition that progressively damages arteries in the brain, typically leads

What are the key differences in diagnostic approaches between fungal and bacterial Rasmussen aneurysms?

Rasmussen Aneurysm Complicated by Fungal Infection and Tuberculosis in a Young Adult

Understanding Rasmussen aneurysms

Rasmussen aneurysms, also known as mycotic aneurysms, are a rare but serious condition characterized by weakening of the arterial wall, often due to infection.While they can occur at any age, presentation in young adults is particularly concerning due to the potential for devastating neurological consequences. These aneurysms typically develop in the circle of Willis, a critical network of arteries at the base of the brain. The underlying cause is usually bacterial endocarditis, but increasingly, fungal infections and even tuberculosis are being recognized as contributing factors. Early diagnosis and aggressive treatment are paramount for improving patient outcomes. Key terms related to this condition include cerebral mycotic aneurysm, infective aneurysm, and brain aneurysm infection.

The Role of Fungal Infections in Rasmussen Aneurysm Progress

Traditionally, bacterial infections like Staphylococcus aureus and Streptococcus species were the primary culprits in mycotic aneurysm formation. However, the incidence of fungal infections leading to these aneurysms is rising, particularly in immunocompromised individuals.

Common Fungal Pathogens: Aspergillus, Candida, and Mucor species are frequently implicated.

Immunocompromised States: Patients with HIV/AIDS, undergoing chemotherapy, or receiving prolonged corticosteroid therapy are at higher risk.

diagnostic Challenges: Fungal aneurysms can be more tough to diagnose than bacterial ones, often requiring specialized fungal cultures and imaging techniques. Antifungal therapy is crucial in these cases.

Disseminated Fungal Infections: The aneurysm may be a manifestation of a more widespread systemic fungal infection.

Tuberculosis as an Atypical Cause

The association between tuberculosis (TB) and Rasmussen aneurysms is less common but increasingly recognized. TB can cause aneurysms through several mechanisms:

  1. Direct Arterial Involvement: Rarely, TB can directly infect and weaken the arterial wall.
  2. Tuberculous Meningitis: Inflammation from tuberculous meningitis can lead to vasculitis and subsequent aneurysm formation.
  3. Immune-Mediated Vasculitis: A delayed hypersensitivity reaction to Mycobacterium tuberculosis antigens can cause inflammation and damage to blood vessels.
  4. co-infection: TB can compromise the immune system, increasing susceptibility to other infections (like fungal infections) that then contribute to aneurysm development. Anti-TB treatment is essential.

Clinical Presentation and Symptoms

The symptoms of a Rasmussen aneurysm complicated by fungal infection or TB can be varied and non-specific, making early diagnosis challenging.

Headache: Often severe and persistent.

Fever: might potentially be present, especially in active infections.

Neurological Deficits: These can include weakness, numbness, speech difficulties, vision changes, or seizures.The specific deficits depend on the location of the aneurysm and any associated bleeding.

Meningeal Signs: stiff neck, photophobia, and altered mental status may indicate meningitis.

Systemic Symptoms: Weight loss, night sweats, and fatigue can be present, particularly with TB.

Diagnostic Approaches: A Multi-Modal Strategy

Accurate diagnosis requires a combination of imaging and laboratory tests.

Cerebral Angiography (DSA): Considered the gold standard for visualizing aneurysms, but invasive.

CT Angiography (CTA): A less invasive alternative to DSA, providing detailed images of the cerebral vasculature.

MRI/MRA: Useful for detecting aneurysms and assessing for associated inflammation or infection. Diffusion-weighted imaging (DWI) can help identify early signs of stroke.

Blood Cultures: To identify bacterial or fungal pathogens.

Lumbar Puncture: To analyze cerebrospinal fluid (CSF) for signs of infection (bacteria, fungi, TB) and inflammation.CSF analysis is critical.

TB Testing: Including a tuberculin skin test (TST) or interferon-gamma release assay (IGRA).

Fungal Cultures: CSF and blood samples should be cultured for fungal pathogens. Galactomannan assay can be helpful in detecting Aspergillus infections.

Biopsy: In some cases, a biopsy of the aneurysm wall may be necessary to confirm the diagnosis and identify the causative organism.

treatment Strategies: A Complex Approach

Treatment is multifaceted and requires a collaborative approach involving neurologists, infectious disease specialists, and neurosurgeons.

Antimicrobial Therapy: Aggressive treatment with appropriate antibiotics (for bacterial infections),antifungals (for fungal infections),or anti-TB medications (for TB) is crucial. Prolonged therapy is often required.

* Surgical Intervention: Clipping or coiling of the

Photo of author

Dr. Priya Deshmukh - Senior Editor, Health

Dr. Priya Deshmukh Senior Editor, Health Dr. Deshmukh is a practicing physician and renowned medical journalist, honored for her investigative reporting on public health. She is dedicated to delivering accurate, evidence-based coverage on health, wellness, and medical innovations.

Blue Jays’ Strategic Trade Pursuit

Pasadena Man Charged with Stealing Little League Gear

Leave a Comment

This site uses Akismet to reduce spam. Learn how your comment data is processed.