Delayed Diagnoses Hamper Treatment of Eosinophilic Esophagitis
Table of Contents
- 1. Delayed Diagnoses Hamper Treatment of Eosinophilic Esophagitis
- 2. The rising Concern Around EoE Misdiagnosis
- 3. Why Are Diagnoses Being Missed?
- 4. The Role of Endoscopy
- 5. Improving Diagnostic Pathways and Follow-Up Care
- 6. Understanding Eosinophilic Esophagitis
- 7. Frequently Asked Questions about Eosinophilic Esophagitis
- 8. How can delayed diagnosis of EoE contribute to esophageal perforation, even without prior endoscopic procedures or trauma?
- 9. Undiagnosed Eosinophilic Esophagitis Leading to Esophageal Perforation: A Clinical Case Study
- 10. understanding Eosinophilic Esophagitis (EoE) & perforation Risk
- 11. Case Presentation: A 38-Year-Old Male
- 12. The Pathophysiology of Perforation in EoE
- 13. Diagnostic Challenges & Importance of Early Detection
- 14. Management Strategies for EoE & Perforation Prevention
November 5,2025 – A concerning trend of missed or delayed diagnoses of Eosinophilic Esophagitis (EoE) is emerging,with recent cases demonstrating perhaps life-threatening consequences. Several medical reports indicate that a meaningful number of individuals initially present in emergency departments with symptoms attributable to EoE, yet the condition goes unrecognized, leading to worsening health and, in some instances, critical complications.
The rising Concern Around EoE Misdiagnosis
Eosinophilic Esophagitis, a chronic inflammatory disease of the esophagus, is becoming increasingly prevalent. It involves an accumulation of eosinophils – a type of white blood cell – in the esophageal lining. Recent data from the American College of Allergy, Asthma & Immunology suggests a rise in EoE diagnoses over the past decade, potentially due to improved awareness but also indicating a genuine increase in incidence.However, experts now believe many cases remain undetected, especially in the early stages.
A recent case study detailed a patient who experienced esophageal perforation – a tear in the esophagus – as a direct result of undiagnosed EoE.The individual had previously sought medical attention for persistent swallowing difficulties, but EoE was not suspected, leading to a delay in appropriate treatment. This case serves as a stark warning about the necessity for enhanced clinical vigilance.
Why Are Diagnoses Being Missed?
Several factors contribute to diagnostic delays. EoE symptoms – which include difficulty swallowing, food impaction, chest pain, and heartburn – can mimic other, more common conditions like gastroesophageal reflux disease (GERD). Consequently, patients are frequently enough initially treated for GERD without further investigation. Furthermore, a lack of awareness among some healthcare professionals regarding the hallmarks of EoE can hinder accurate and timely diagnosis.
The Role of Endoscopy
Endoscopy, a procedure where a thin, flexible tube with a camera is used to visualize the esophagus, is crucial for diagnosing EoE. However, even with endoscopy, the diagnosis can be missed if clinicians are not specifically looking for the characteristic signs of eosinophilic inflammation. Proper tissue sampling during endoscopy is also essential for accurate assessment.
| Symptom | EoE | GERD |
|---|---|---|
| Difficulty Swallowing | Common | Common |
| Food Impaction | Highly Suggestive | Rare |
| Chest Pain | Common | Common |
| Heartburn | Present, but frequently enough less prominent | Primary Symptom |
| Eosinophil Levels | Elevated in Esophagus | Normal |
Did You No? EoE is often associated with other allergic conditions, such as asthma, eczema, and allergic rhinitis.Patients with these conditions may be at increased risk and should be screened for EoE if they experience esophageal symptoms.
Improving Diagnostic Pathways and Follow-Up Care
Healthcare professionals are actively working to address these challenges. New initiatives focus on educating primary care physicians and emergency department staff about EoE, emphasizing the importance of considering the condition in patients with persistent esophageal symptoms. Furthermore, streamlined diagnostic protocols and improved access to specialized care are being implemented to reduce delays in diagnosis and treatment.
Pro Tip: If you consistently experience difficulty swallowing or food getting stuck in your esophagus, even if you’ve been diagnosed with heartburn, don’t hesitate to seek a second opinion and specifically ask about the possibility of EoE.
Understanding Eosinophilic Esophagitis
Eosinophilic Esophagitis (EoE) is an immune-mediated esophageal disease. While the exact cause isn’t fully understood, it is thought to be triggered by food and/or environmental allergens. Over time, chronic inflammation can lead to esophageal narrowing, strictures, and increased risk of complications. Early and effective management, including dietary modifications or medications, is vital to prevent disease progression.
Frequently Asked Questions about Eosinophilic Esophagitis
What steps can be taken to improve awareness of Eosinophilic Esophagitis among healthcare providers? Share your thoughts in the comments below, and don’t forget to share this article with your network!
How can delayed diagnosis of EoE contribute to esophageal perforation, even without prior endoscopic procedures or trauma?
Undiagnosed Eosinophilic Esophagitis Leading to Esophageal Perforation: A Clinical Case Study
understanding Eosinophilic Esophagitis (EoE) & perforation Risk
Eosinophilic Esophagitis (EoE) is a chronic, immune-mediated inflammatory disease of the esophagus. It’s characterized by a high number of eosinophils – a type of white blood cell – in the esophageal lining.While often presenting with dysphagia (difficulty swallowing) and food impaction, the insidious nature of EoE can lead to severe complications if left undiagnosed, including esophageal perforation. This article details a clinical case highlighting the dangers of delayed diagnosis and explores preventative measures. Keywords: Eosinophilic Esophagitis, Esophageal Perforation, EoE, Dysphagia, Food Impaction, Esophageal Inflammation, Allergic Esophagitis.
Case Presentation: A 38-Year-Old Male
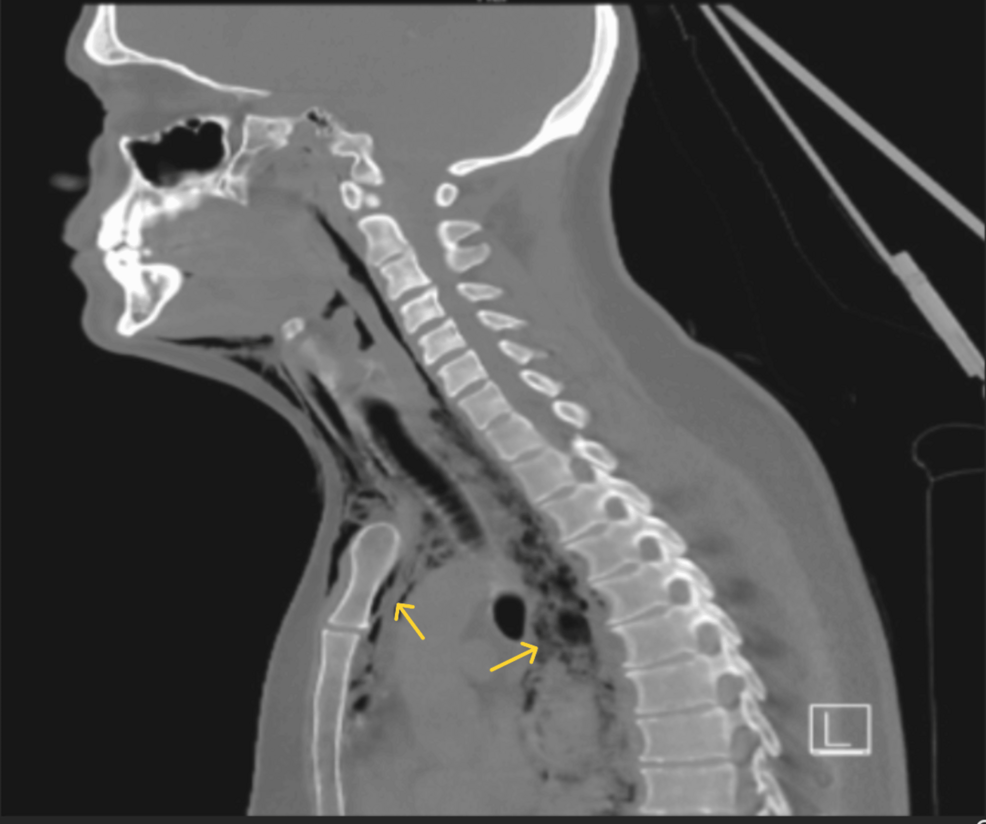
A 38-year-old male presented to the emergency department with acute, severe chest pain radiating to the back, accompanied by fever and shortness of breath. Initial assessment suspected a myocardial infarction, but ECG and cardiac enzyme tests were negative. Further examination revealed subcutaneous emphysema and pneumomediastinum, strongly suggesting esophageal perforation.
* Patient History: The patient reported a 6-month history of progressively worsening dysphagia, initially to solid foods, then progressing to liquids. He attributed this to stress and occasional heartburn, self-treating with over-the-counter antacids. He denied any history of trauma or recent endoscopic procedures.
* Diagnostic Findings: A CT scan of the chest confirmed a small perforation in the distal esophagus. Esophagoscopy revealed meaningful esophageal inflammation and friability. Biopsies demonstrated a dense eosinophilic infiltrate – over 20 eosinophils per high-power field – consistent with Eosinophilic Esophagitis.
* Treatment: The patient underwent emergency surgical repair of the esophageal perforation. He was subsequently started on proton pump inhibitors (PPIs) and a topical corticosteroid (fluticasone propionate) for EoE management. Allergy testing was initiated to identify potential food triggers.
The Pathophysiology of Perforation in EoE
Chronic esophageal inflammation in EoE causes:
- Esophageal Wall Weakening: The persistent eosinophilic infiltration leads to structural changes in the esophageal wall, reducing its elasticity and tensile strength.
- Stricture Formation: Repeated inflammation and remodeling can result in esophageal strictures (narrowing), increasing the risk of food bolus impaction.
- Increased Intraluminal Pressure: Attempting to dislodge impacted food can generate significant pressure within the esophagus, exceeding the weakened wall’s capacity.
- Perforation: Ultimately, this can lead to a full-thickness tear – an esophageal perforation. This is a life-threatening emergency. Keywords: Esophageal strictures, Food Bolus Impaction, Esophageal Inflammation, Esophageal Wall, EoE Complications.
Diagnostic Challenges & Importance of Early Detection
Diagnosing EoE can be challenging as symptoms are frequently enough nonspecific and can mimic other gastrointestinal conditions like GERD (Gastroesophageal Reflux Disease).
* Common Symptoms: Dysphagia,food impaction,chest pain (often mistaken for cardiac pain),heartburn,and regurgitation.
* Diagnostic Tools:
* Upper Endoscopy with Biopsy: The gold standard for diagnosis.Biopsies reveal eosinophilic infiltration.
* Barium Swallow: Can identify esophageal strictures or rings.
* Allergy Testing: Helps identify potential food triggers.
* Esophageal Manometry: Assesses esophageal motility.
* Delayed Diagnosis consequences: As illustrated in the case study, delayed diagnosis significantly increases the risk of severe complications like perforation, mediastinitis, and sepsis. Keywords: EoE Diagnosis, Endoscopy, Esophageal Biopsy, Allergy Testing, GERD, Dysphagia Diagnosis.
Management Strategies for EoE & Perforation Prevention
Effective management of EoE focuses on reducing esophageal inflammation and preventing complications.
* Pharmacological Therapy:
* Topical Corticosteroids: First-line treatment to reduce eosinophilic inflammation. (Fluticasone, budesonide)
* Proton Pump inhibitors (PPIs): Help reduce acid reflux, which can exacerbate EoE.
* Dietary Modifications:
* Elimination Diets: Identifying and eliminating food triggers (common allergens include milk, wheat, soy, eggs, nuts, and seafood). Guided by allergy testing.
* Elemental Diet: In severe cases, a hypoallergenic, amino acid-based formula