News">
Rare Guillain-Barré Syndrome Variant Puzzles Doctors
Table of Contents
- 1. Rare Guillain-Barré Syndrome Variant Puzzles Doctors
- 2. Unusual Symptom Combination Raises Concerns
- 3. Diagnostic Challenges and Treatment Strategies
- 4. Understanding Guillain-Barré Syndrome
- 5. The Evolving Landscape of Neurological Diagnosis
- 6. Frequently Asked Questions About Guillain-Barré Syndrome
- 7. What are the key atypical features presented in this case report compared to classic Guillain-Barré Syndrome?
- 8. Unusual Descending Guillain-Barré Syndrome with Bulbar Palsy and Autonomic Instability Featuring Delayed Colonic Pseudo-Obstruction: A Detailed case Report
- 9. Understanding Guillain-Barré Syndrome (GBS) & Its Variations
- 10. Case Presentation: A 48-Year-Old Male
- 11. Diagnostic Workup & Confirmation of GBS
- 12. The Complication: Delayed Colonic Pseudo-Obstruction
- 13. Treatment & Clinical Course
- 14. Differential Diagnoses to Consider
A newly documented medical case has detailed an atypical presentation of Guillain-Barré Syndrome (GBS), a rare neurological disorder, presenting significant challenges to diagnosis and treatment protocols. The case, recently reviewed by medical professionals, involved a patient exhibiting a complex combination of symptoms, differing from the typical progression of the autoimmune condition.
Unusual Symptom Combination Raises Concerns
Typically, Guillain-barré Syndrome begins with weakness and tingling in the extremities. However, this patient initially presented with bulbar palsy, impacting speech and swallowing capabilities. This was accompanied by autonomic instability, characterized by fluctuations in blood pressure and heart rate, and a delayed onset of colonic pseudo-obstruction – a condition mimicking a bowel blockage without any physical obstruction.
According to data from the Centers for Disease Control and Prevention (CDC), GBS affects approximately 1 to 2 peopel per 100,000 annually in the United States. CDC – Guillain-Barré Syndrome The atypical nature of this case underscores the importance of considering a broad differential diagnosis, even when initial symptoms don’t align with typical presentations.
Diagnostic Challenges and Treatment Strategies
the patient’s unusual constellation of symptoms initially led to diagnostic delays. Standard diagnostic tests for GBS, such as cerebrospinal fluid analysis and nerve conduction studies, were not instantly conclusive. The delayed onset of colonic pseudo-obstruction further complex the clinical picture.
Treatment involved a combination of supportive care focused on managing autonomic dysfunction and administering immunomodulatory therapies, aimed at suppressing the autoimmune response. While the patient eventually showed signs of improvement, the case emphasizes the need for a tailored treatment approach in atypical GBS presentations.
Did You No? Guillain-Barré syndrome is frequently enough triggered by a preceding infection, such as a respiratory or gastrointestinal illness.
Understanding Guillain-Barré Syndrome
Guillain-Barré Syndrome is a rare autoimmune disorder were the body’s immune system attacks its own nerves. This damage can cause muscle weakness,paralysis,and sensory abnormalities. While most cases are acute and resolve with treatment, some individuals experience long-term disability.The exact cause of GBS remains unknown, but it is indeed frequently enough preceded by an infection.
| symptom | Typical GBS | Atypical Case |
|---|---|---|
| Initial Presentation | Weakness & Tingling in Extremities | Bulbar Palsy (Speech & Swallowing) |
| Autonomic Involvement | variable | Significant Instability |
| Colonic Issues | Rare | Delayed Pseudo-obstruction |
Pro Tip: Early diagnosis and treatment are crucial for maximizing recovery in Guillain-Barré Syndrome. Seek immediate medical attention if you experience rapidly progressing weakness or other neurological symptoms.
Are you aware of the subtle signs of autoimmune disorders? What steps can healthcare professionals take to improve the early detection of atypical GBS cases?
The Evolving Landscape of Neurological Diagnosis
The medical community is continually refining its understanding of neurological disorders like Guillain-Barré Syndrome. Recent advancements in neuroimaging and biomarker identification are offering new hope for earlier and more accurate diagnoses. Furthermore, research into personalized immunotherapies promises to revolutionize treatment strategies, leading to improved outcomes for patients with GBS and other autoimmune conditions.
Frequently Asked Questions About Guillain-Barré Syndrome
- What is Guillain-Barré syndrome? It’s a rare autoimmune disorder affecting the peripheral nerves.
- What are the common symptoms of GBS? Weakness, tingling, and paralysis are typical symptoms.
- Is Guillain-Barré Syndrome fatal? While serious, it’s rarely fatal with prompt treatment.
- Can GBS be prevented? There is no known way to prevent GBS, but vaccination against triggering infections can reduce risk.
- How is Guillain-Barré Syndrome treated? Treatment involves immunomodulatory therapies and supportive care.
- What is bulbar palsy in relation to GBS? Bulbar palsy indicates involvement of cranial nerves impacting speech, swallowing, and facial expression.
- What’s the prognosis for someone with GBS? Most people recover,but some may have long-term weakness.
Share your thoughts on this case and your experiences with neurological conditions in the comments below!
What are the key atypical features presented in this case report compared to classic Guillain-Barré Syndrome?
Unusual Descending Guillain-Barré Syndrome with Bulbar Palsy and Autonomic Instability Featuring Delayed Colonic Pseudo-Obstruction: A Detailed case Report
Understanding Guillain-Barré Syndrome (GBS) & Its Variations
Guillain-Barré syndrome (GBS) is a rare autoimmune disorder affecting the peripheral nervous system. Typically, it presents as ascending weakness, starting in the legs and progressing upwards. However, atypical presentations exist, demanding a high index of suspicion for prompt diagnosis and management. This case report details an unusual descending variant of GBS intricate by bulbar palsy, autonomic instability, and a delayed onset of colonic pseudo-obstruction – a rare but serious complication. We’ll explore the diagnostic challenges and therapeutic approaches relevant to thes complex presentations of GBS, including acute inflammatory demyelinating polyneuropathy (AIDP), the moast common subtype.
Case Presentation: A 48-Year-Old Male
A 48-year-old male presented with a two-week history of progressive facial weakness, difficulty swallowing (dysphagia), and slurred speech (dysarthria) – indicative of bulbar palsy. Initial neurological examination revealed cranial nerve involvement without significant limb weakness. He denied any recent infections, vaccinations, or gastrointestinal symptoms.
* Initial Assessment: The patientS vital signs were notable for fluctuating blood pressure and mild tachycardia, raising concerns about autonomic dysfunction. Deep tendon reflexes were diminished globally.
* Differential Diagnosis: Initial considerations included myasthenia gravis, brainstem stroke, and botulism. Though, these were ruled out based on negative acetylcholine receptor antibody testing, normal brain MRI, and lack of toxin exposure history.
* Progression of Symptoms: Within 72 hours, the patient developed progressive weakness in his arms, followed by leg weakness, evolving into a descending pattern – atypical for classic GBS. He required escalating respiratory support due to diaphragmatic weakness.
Diagnostic Workup & Confirmation of GBS
A extensive diagnostic workup was crucial to confirm the GBS diagnosis and rule out other potential causes.
- Nerve Conduction Studies (NCS) & Electromyography (EMG): These revealed demyelination consistent with GBS,although the pattern was less typical than the classic ascending form. Prolonged distal latencies and reduced conduction velocities were observed.
- Cerebrospinal Fluid (CSF) Analysis: CSF analysis demonstrated albuminocytologic dissociation – elevated protein levels with a normal white blood cell count – a hallmark of GBS.
- Serological Investigations: Testing for common GBS-associated infections (Campylobacter jejuni, Cytomegalovirus, Epstein-Barr virus) was performed, with negative results. autoimmune markers were also assessed to exclude other autoimmune neuropathies.
- Autonomic function Testing: Demonstrated significant autonomic instability, including heart rate variability and blood pressure fluctuations.
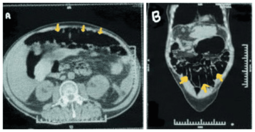
The Complication: Delayed Colonic Pseudo-Obstruction
Approximately ten days into hospitalization, the patient developed abdominal distension, nausea, and inability to pass stool or gas. Initial imaging suggested a mechanical bowel obstruction.However, further examination revealed normal bowel caliber on CT scan, with marked colonic dilation – indicative of colonic pseudo-obstruction.
* Pathophysiology: Autonomic dysfunction associated with GBS can disrupt normal bowel motility, leading to pseudo-obstruction. The descending nature of the weakness and autonomic involvement likely contributed to this complication in our patient.
* Management: Conservative management with bowel decompression via nasogastric tube and rectal enemas was initially attempted. However, due to persistent symptoms and risk of colonic perforation, the patient required pharmacological intervention with prokinetic agents (e.g., metoclopramide) and, ultimately, temporary colostomy placement.
Treatment & Clinical Course
The patient was treated with intravenous immunoglobulin (IVIg) – a standard treatment for GBS. He also received supportive care, including mechanical ventilation, cardiac monitoring, and nutritional support.
* IVIg Response: While IVIg provided some improvement in neurological function, the response was slower than typically observed.The presence of bulbar palsy and autonomic instability may have contributed to the attenuated response.
* Rehabilitation: Following stabilization, the patient underwent intensive physical, occupational, and speech therapy to regain functional independence.
* Long-Term Follow-up: At six months follow-up, the patient demonstrated significant neurological recovery, although residual weakness and mild dysarthria persisted. The colostomy was successfully reversed.
Differential Diagnoses to Consider
When encountering atypical GBS presentations, several other conditions must be considered:
* Chronic Inflammatory Demyelinating Polyneuropathy (CIDP): Distinguished by a slower progression and chronic course.
* Miller Fisher Syndrome (MFS): A variant of GBS characterized by ophthalmoplegia,ataxia,and areflexia.
* Acute Motor Axonal Neuropathy (AMAN): Often associated with Campylobacter jejuni infection and characterized by axonal damage.
* Neuromuscular Junction disorders: Such as Myasthenia Gravis and Lambert-E