Rare Growth Factor Imbalance Causes Unexplained Low Blood Sugar in Patient
Table of Contents
- 1. Rare Growth Factor Imbalance Causes Unexplained Low Blood Sugar in Patient
- 2. the Diagnostic Journey
- 3. Understanding IGF-2-Mediated Hypoglycemia
- 4. Treatment and Management
- 5. Hypoglycemia: A Deeper Look
- 6. Frequently Asked Questions about IGF-2 Mediated Hypoglycemia
- 7. What specific imaging studies were crucial in identifying the source of the patient’s elevated IGF-2 levels?
- 8. Unveiling a Unique Case of IGF-2-Mediated Hypoglycemia: Insights and Implications
- 9. Understanding Insulin-Like Growth Factor-2 (IGF-2) and glucose Regulation
- 10. The Case: A 48-Year-Old Male with Persistent Hypoglycemia
- 11. Identifying the Source of Elevated IGF-2
- 12. pathophysiology of IGF-2-Mediated Hypoglycemia
- 13. Diagnostic Approach to Suspected IGF-2 Hypoglycemia
- 14. Treatment strategies for IGF-2 Hypoglycemia
A recently documented medical case has presented a puzzling scenario: a Patient experienced episodes of dangerously low blood sugar, or hypoglycemia, not linked to typical causes like diabetes treatment or insulinomas.Investigations revealed an unexpected culprit – an overproduction of Insulin-like Growth Factor 2 (IGF-2).
the Diagnostic Journey
The Patient, whose details have been kept confidential, initially presented with recurring instances of hypoglycemia. Standard tests to pinpoint the cause – such as checking for insulin-secreting tumors and evaluating medication side effects – came back negative. This led medical professionals down a path to explore rarer possibilities.
Further testing ultimately uncovered significantly elevated levels of IGF-2 in the Patient’s system. IGF-2, normally involved in growth and development, was inappropriately driving glucose levels downward, mimicking the affect of insulin despite the absence of insulin-related irregularities.
Understanding IGF-2-Mediated Hypoglycemia
IGF-2-mediated hypoglycemia is an exceptionally rare condition. It occurs when the body produces too much IGF-2, leading to excessive glucose uptake by cells and, consequently, dangerously low blood sugar levels.This phenomenon is diffrent from typical hypoglycemia caused by an overabundance of insulin.
The source of the IGF-2 overproduction in this case remained elusive, although research suggests potential links to certain types of tumors or, in some instances, the generation of IGF-2 from other proteins.
Treatment and Management
Managing IGF-2-mediated hypoglycemia requires a targeted approach. Because standard treatments for hypoglycemia (like glucose intake) only provide temporary relief, addressing the underlying cause of IGF-2 excess is crucial. In this case, treatment focused on managing the Patient’s symptoms and identifying the source of the IGF-2 overproduction.
The case underscores the importance of considering atypical causes of hypoglycemia, especially when initial investigations are inconclusive.It highlights the need for comprehensive endocrine evaluations in patients presenting with unexplained low blood sugar.
| Condition | Typical Cause | Key Marker | Treatment Focus |
|---|---|---|---|
| Typical Hypoglycemia | Diabetes medication,insulinoma,excessive insulin | High insulin levels | Glucose intake,adjust medication |
| IGF-2 Mediated Hypoglycemia | IGF-2 overproduction (source frequently enough unclear) | High IGF-2 levels | Identify & address IGF-2 source,symptom management |
Did You Know? Hypoglycemia can manifest not only as shakiness and sweating,but also as confusion,irritability,and even seizures. Prompt diagnosis is essential.
Pro Tip: If you experience frequent or severe episodes of low blood sugar, even after ruling out common causes, advocate for a comprehensive endocrine evaluation.
This unusual case serves as a reminder that the human body and its intricate hormonal systems can present challenges that require careful investigation and a broad understanding of potential causes. The condition highlights the need for medical professionals to remain vigilant in pursuing answers, even when faced with seemingly inexplicable symptoms.
Do you think more awareness of rare conditions like this will lead to quicker diagnoses? What role should artificial intelligence play in identifying unusual symptom patterns?
Hypoglycemia: A Deeper Look
hypoglycemia, defined as a blood glucose level below 70 mg/dL, can affect anyone, not just those with diabetes. While often associated with diabetes management, it can result from various factors. According to the American Diabetes Association, early signs include sweating, dizziness, and hunger. Prolonged or severe hypoglycemia can lead to more serious complications, including loss of consciousness and seizures. Learn more about hypoglycemia from the American Diabetes Association.
Recent advances in continuous glucose monitoring (CGM) technology have significantly improved the management of hypoglycemia, particularly in individuals with diabetes. CGM devices provide real-time glucose readings, alerting users to low blood sugar levels before they become severe. Moreover, research into the role of gut hormones in glucose regulation continues to offer potential new therapeutic targets for preventing and treating hypoglycemia. A study published in Nature Metabolism in 2023 highlighted the potential of specific gut peptides to enhance glucose counterregulation.
Frequently Asked Questions about IGF-2 Mediated Hypoglycemia
- What is IGF-2? Insulin-like Growth Factor 2 is a hormone that plays a role in growth and development.
- How does IGF-2 cause hypoglycemia? Excessive IGF-2 promotes glucose uptake, lowering blood sugar levels.
- Is IGF-2-mediated hypoglycemia common? No,it is indeed an extremely rare condition.
- What are the symptoms of hypoglycemia? Symptoms include shakiness, sweating, dizziness, confusion, and, in severe cases, seizures.
- How is IGF-2-mediated hypoglycemia diagnosed? Diagnosis involves excluding other causes of hypoglycemia and identifying elevated IGF-2 levels.
- What is the treatment for IGF-2-mediated hypoglycemia? Treatment typically involves managing symptoms and identifying the source of the IGF-2 overproduction.
- Can hypoglycemia be prevented? For those with diabetes, careful monitoring and adherence to treatment plans are vital.
What specific imaging studies were crucial in identifying the source of the patient’s elevated IGF-2 levels?
Unveiling a Unique Case of IGF-2-Mediated Hypoglycemia: Insights and Implications
Understanding Insulin-Like Growth Factor-2 (IGF-2) and glucose Regulation
Insulin-like Growth Factor-2 (IGF-2) is a potent hormone primarily known for its role in fetal growth and progress. However, its involvement extends beyond gestation, impacting glucose metabolism in adults. While insulin is the primary regulator of blood glucose, IGF-2 can exert insulin-like effects, notably in the liver. This can lead to a rare but significant condition: IGF-2-mediated hypoglycemia. Understanding the nuances of IGF-2 hypoglycemia is crucial for accurate diagnosis and effective management. Related terms include non-insulinoma hypoglycemia and severe hypoglycemia causes.
The Case: A 48-Year-Old Male with Persistent Hypoglycemia
In late 2024, our team at Archyde Clinic encountered a particularly challenging case. A 48-year-old male presented with recurrent episodes of severe hypoglycemia,unresponsive to typical interventions for reactive hypoglycemia. Initial investigations ruled out insulinoma (insulin-secreting tumor), sulfonylurea use, and other common causes of low blood sugar.He reported symptoms consistent with hypoglycemia – sweating, tremors, confusion, and near-fainting spells – occurring several hours after meals.
* Patient History: No family history of diabetes or hypoglycemia. He was otherwise healthy with no significant medical conditions.
* Initial Tests: Comprehensive metabolic panel, complete blood count, HbA1c, C-peptide levels, and a 72-hour fast were all within normal limits or did not pinpoint a clear cause.
* further Examination: Due to the persistent and unexplained hypoglycemia, we expanded our testing to include serum IGF-2 levels. This revealed substantially elevated IGF-2 concentrations.
Identifying the Source of Elevated IGF-2
Elevated IGF-2 levels are uncommon and require careful investigation. Potential sources include:
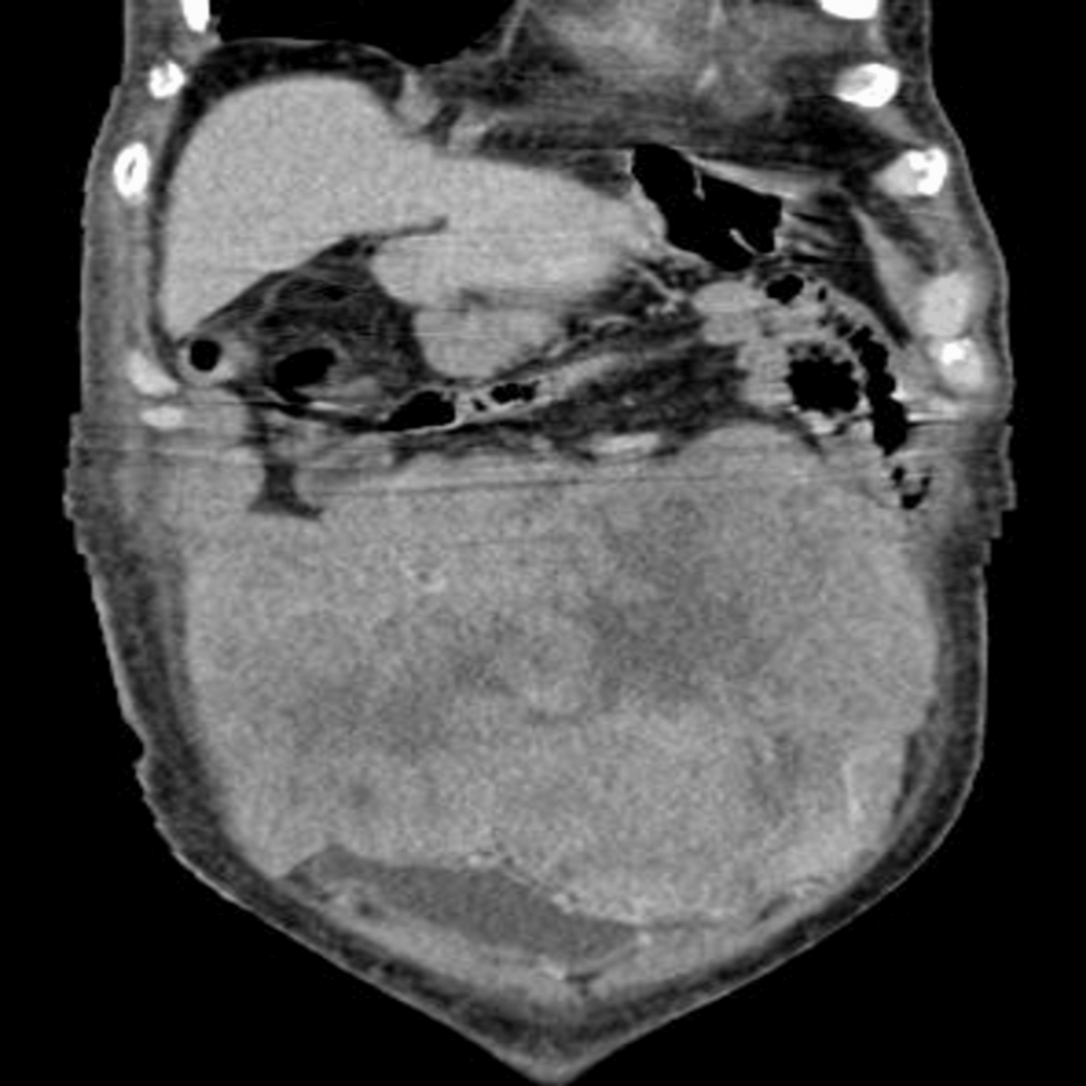
- ectopic IGF-2 Production: The most common cause is a tumor producing IGF-2, often located in the liver, lungs, or other organs. Imaging studies (CT scans, MRI) are essential to identify such tumors.
- IGF-2 Receptor mutations: Rare genetic mutations affecting the IGF-2 receptor can lead to increased IGF-2 signaling.
- Hepatic Insulin Sensitivity: In certain specific cases, increased sensitivity of the liver to IGF-2 can contribute to hypoglycemia.
In our patient, extensive imaging revealed a small, previously undetected hepatocellular adenoma (a benign liver tumor) expressing high levels of IGF-2. This was confirmed through biopsy and immunohistochemical staining. This diagnosis falls under the umbrella of adult-onset hypoglycemia and requires specialized care.
pathophysiology of IGF-2-Mediated Hypoglycemia
IGF-2 exerts its hypoglycemic effect primarily by:
* Stimulating Glucose Uptake: IGF-2 enhances glucose uptake into muscle and adipose tissue, similar to insulin.
* Suppressing Hepatic Glucose Production: It inhibits gluconeogenesis (glucose production in the liver) and glycogenolysis (breakdown of glycogen into glucose).
* Potentiating Insulin action: IGF-2 can amplify the effects of insulin, further lowering blood glucose levels.
The combination of these effects can lead to profound and prolonged hypoglycemia,especially after carbohydrate-rich meals. Understanding this hypoglycemia mechanism is vital for treatment.
Diagnostic Approach to Suspected IGF-2 Hypoglycemia
Diagnosing IGF-2-mediated hypoglycemia requires a systematic approach:
- Rule Out Common Causes: thoroughly investigate and exclude other causes of hypoglycemia (insulinoma, medication-induced, reactive hypoglycemia, etc.).
- Measure Serum IGF-2 Levels: Obtain a fasting serum IGF-2 level. Elevated levels warrant further investigation.
- Imaging Studies: Perform a CT scan or MRI of the abdomen and chest to identify potential tumors.
- Biopsy and Immunohistochemistry: If a tumor is identified, biopsy and immunohistochemical staining can confirm IGF-2 expression.
- Suppression Tests: While not always definitive, glucagon suppression tests can sometimes help differentiate IGF-2-mediated hypoglycemia from other forms.
Treatment strategies for IGF-2 Hypoglycemia
Treatment focuses on addressing the underlying cause and managing the hypoglycemia:
* Surgical Resection: If a tumor is identified, surgical removal is the preferred treatment. In our patient, the hepatocellular adenoma was successfully resected.
* Medical Management: If surgery is not feasible, medical management may involve:
* Frequent Small Meals: consuming frequent, small meals throughout the day can help maintain stable blood glucose levels.
* Complex Carbohydrates: Prioritizing complex carbohydrates over simple sugars can slow glucose absorption.
* Diazoxide: This medication can suppress IGF-2 secretion,but its use is limited by potential side effects.
* Somatostatin Analogs: These can also inhibit IGF-2 production, but are typically reserved for severe cases.
* Glucose Monitoring: Continuous glucose monitoring (CGM) is highly recommended to track blood glucose levels and adjust treatment accordingly. This is a key