Unveiling Lupus Enteritis: A Rare Gastrointestinal Flare of Systemic Lupus Erythematosus

Breaking: Rare Lupus Flare Triggers Gut Crisis – understanding Lupus Enteritis

A rare flare of systemic lupus erythematosus is drawing urgent attention after patients developed abrupt abdominal pain and digestive symptoms. Medical teams describe lupus enteritis as an uncommon but serious GI complication that can require rapid evaluation and treatment to prevent complications.

What is lupus enteritis? It is a gastrointestinal manifestation linked to systemic lupus flares. In these cases, inflammation and blood vessel changes affect the intestines, leading to symptoms that may mimic other abdominal conditions. Evidence from clinical reports emphasizes that recognizing this flare early helps guide effective treatment and avoid serious outcomes.

how does it present? Patients commonly report sudden abdominal pain, nausea or vomiting, and sometimes diarrhea. In some instances, low-grade fever or general malaise accompanies the pain. Because the symptoms resemble other abdominal disorders, healthcare teams rely on imaging and blood tests to distinguish lupus enteritis from infections or surgical emergencies.

Diagnosis and care require a careful, multidisciplinary approach. Doctors may use abdominal imaging to identify inflammation of the mesenteric vessels and bowel wall changes. Laboratory tests often show markers of systemic inflammation or autoimmune activity. The management typically centers on controlling the autoimmune response with immunosuppressive therapy, with treatment choices tailored to the severity of symptoms and the patient’s overall health. Prompt intervention improves outcomes and reduces the risk of intestinal damage.

Prognosis improves with early recognition and appropriate therapy. While lupus enteritis can be serious, most patients respond to treatment when the flare is identified quickly and managed by specialists familiar with lupus care.Ongoing monitoring supports recovery and helps prevent future flares through tailored treatment plans.

Key Facts In Brief

Aspect Overview
Condition A gastrointestinal complication of lupus that affects blood vessels in the intestines, known as lupus enteritis.
Common symptoms Sudden abdominal pain, nausea, vomiting, and sometimes diarrhea.
Diagnostic Clues Abdominal imaging showing mesenteric inflammation; blood tests indicating immune activity.
Standard Treatment Immunosuppressive therapy, often including steroids; treatment tailored to severity.
Prognosis Favorable with early detection and appropriate management; risk of complications decreases with timely care.

Experts emphasize that people living with systemic lupus erythematosus should report new, persistent abdominal pain to their health teams promptly.This helps distinguish lupus enteritis from other conditions that require different treatments and ensures the right care pathway is taken. For broader context on lupus and its organ-wide impact, reputable health resources offer complete explanations and guidance.

To learn more, readers can consult established medical information on lupus from authoritative sources. For example, information about systemic lupus erythematosus and its manifestations is available from national health institutes and major medical centers. External resources can provide background and context for patients, caregivers, and clinicians alike.

Disclaimer: This article is for informational purposes only and does not constitute medical advice. If you or someone you know is facing abdominal pain or other symptoms of lupus, seek prompt medical evaluation.

why it matters now: Lupus enteritis underscores the importance of integrated lupus care. Healthcare teams, patients, and families benefit from clear communication, early imaging when GI symptoms arise, and evidence-based treatment plans that adapt to the patient’s autoimmune activity and overall health.

Where science stands and who to follow

ongoing research continues to refine diagnostic approaches and treatment strategies for lupus enteritis. Patients should stay informed through trusted health organizations and medical professionals who specialize in autoimmune diseases and rheumatology.

Engagement questions

What signs triggered concern for lupus enteritis in your experience or that of someone you know?

What resources or steps helped you or a loved one navigate a lupus-related gut flare most effectively?

Share your thoughts or experiences in the comments.

Learn more from national health sourcesMayo clinic overview of lupus

What Is Lupus Enteritis?

Lupus enteritis, also known as lupus‐associated intestinal vasculitis, is a rare but potentially severe gastrointestinal (GI) manifestation of systemic lupus erythematosus (SLE). It occurs when immune‑complex deposition and complement activation inflame the small‑vessel walls of the bowel, leading to edema, ischemia, and sometimes perforation [1].

How Common Is It?

Population Reported prevalence
All SLE patients 0.2 %-5 %
Female SLE patients (peak 20‑40 y) Higher incidence than males
Ethnic groups with higher disease activity (e.g., African‑American, Hispanic) Slightly increased risk

*data derived from multicenter SLE registries and retrospective case series [2].

Pathophysiology at a Glance

  1. Immune‑complex deposition in mesenteric arterioles triggers complement cascade.
  2. Endothelial injury leads to microthrombosis and increased vascular permeability.
  3. Edematous bowel wall results in thickening, “target sign” on imaging, and reduced perfusion.
  4. Secondary inflammation may involve the serosa, causing ascites and peritoneal irritation.

Typical Clinical Presentation

  • Acute abdominal pain (often diffuse, crampy) – the most frequent complaint.
  • Nausea/vomiting (can be bilious).
  • Diarrhea or occult GI bleeding – less common but reported in up to 30 % of cases.
  • Low‑grade fever and fatigue reflecting systemic SLE activity.
  • Physical findings: tender abdomen,mild guarding,sometimes palpable ascites.

Quick tip: In any SLE patient with new‑onset abdominal pain, consider lupus enteritis early, especially when other SLE flare markers (elevated anti‑dsDNA, low complement) are present.

Diagnostic Workup

Test What It Reveals Key Points
laboratory panel (CBC, ESR/CRP, complement C3/C4, anti‑dsDNA) Systemic inflammation and disease activity Low C3/C4 supports active lupus.
Serum amylase/lipase Rules out pancreatitis (often normal in lupus enteritis).
Abdominal CT with contrast Bowel wall thickening (>3 mm), “target” or “halo” sign, mesenteric edema, ascites Sensitivity ≈ 80 %; specificity ≈ 70 % [3].
MRI enterography (optional) Superior soft‑tissue contrast, no radiation Useful in pregnant patients.
Endoscopy (if obstruction ruled out) Mucosal ulcerations, erythema; biopsies may show vasculitic changes. Avoid if perforation risk is high.
Histopathology (when tissue obtained) Immune‑complex deposition (IgG, C3) in vessel walls. Confirms vasculitis but not required for diagnosis.

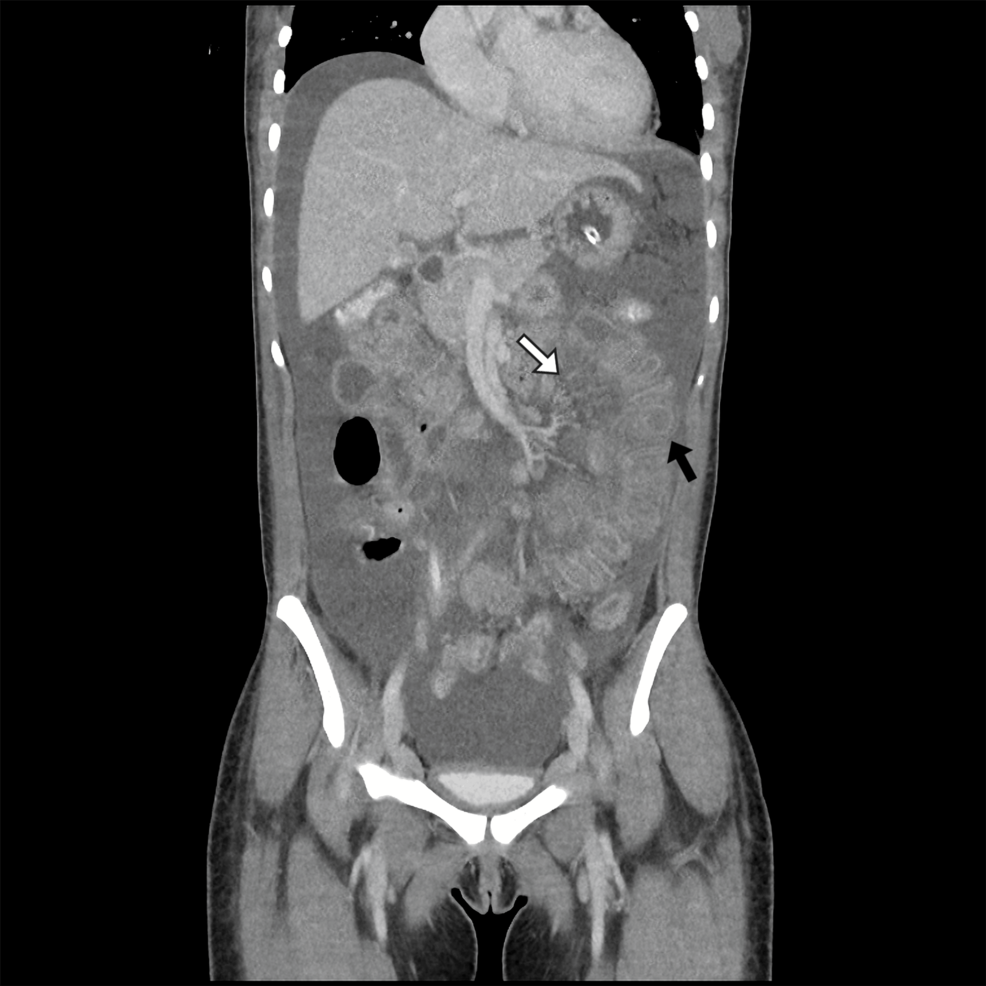
Imaging Hallmarks

  • Segmental bowel wall thickening – often in the jejunum/ileum.
  • “Double‑halo” sign – inner mucosal hyperenhancement flanked by submucosal edema.
  • Mesenteric fat stranding and fluid‑filled peritoneal cavity.
  • Absence of pneumoperitoneum unless perforation has occurred.

Differential Diagnosis Checklist

  • Infectious enteritis (e.g., C. difficile, salmonella).
  • Mesenteric ischemia unrelated to SLE.
  • Inflammatory bowel disease (IBD) – Crohn’s disease may mimic imaging findings.
  • Drug‑induced enteropathy (e.g., NSAIDs, mycophenolate).
  • Neoplastic lesions – though rare in this age group.

Evidence‑Based Management

First‑Line Therapy

  1. High‑dose intravenous methylprednisolone (1 g/day for 3 days) → taper to oral prednisone 1 mg/kg.
  2. Adjunctive immunosuppressants if steroid response is suboptimal:
    • Cyclophosphamide (IV pulse, 500-750 mg/m²) – effective for severe vasculitis.
    • Mycophenolate mofetil (1-2 g/day) – preferred for maintenance.
    • Rituximab (375 mg/m² weekly ×4) – useful in refractory cases [4].

Supportive Care

  • Fluid resuscitation and electrolyte monitoring.
  • NG tube decompression for persistent vomiting or ileus.
  • Broad‑spectrum antibiotics only if secondary infection is suspected.

Monitoring & Relapse prevention

  • Daily clinical assessment of abdominal pain and bowel sounds.
  • Laboratory trend of ESR/CRP, complement levels, and anti‑dsDNA.
  • Repeat imaging (CT or MRI) after 7-10 days if symptoms persist.
  • Gradual steroid taper over 6-12 months, guided by disease activity scores (e.g., SLEDAI‑2K).

Potential Complications

  • Bowel perforation – surgical emergency; incidence ≈ 10 % in severe cases.
  • Intestinal obstruction – may require temporary ileostomy.
  • Sepsis from bacterial translocation.
  • Long‑term malabsorption if extensive bowel segments are damaged.

Practical Tips for Patients & Caregivers

  1. Track flare markers – keep a log of joint pain, rash, and fatigue alongside GI symptoms.
  2. Promptly report any new abdominal pain, especially if accompanied by fever or vomiting.
  3. Stay hydrated – oral rehydration solutions can mitigate mild dehydration.
  4. Medication adherence – never skip steroids or immunosuppressants during a flare.
  5. Vaccinations – keep up to date on pneumococcal and influenza shots to lower infection risk while on immunosuppression.

Real‑World Case Highlight

  • Patient: 28‑year‑old African‑American woman with SLE diagnosed 4 years prior.
  • Presentation: Sudden onset of severe epigastric pain, nausea, and low‑grade fever; labs showed low C3/C4, elevated anti‑dsDNA.
  • Imaging: Contrast CT revealed jejunal wall thickening (4 mm) with “halo sign” and moderate ascites.
  • Management: Received IV methylprednisolone 1 g/day ×3, followed by oral prednisone 60 mg/day and cyclophosphamide IV (500 mg/m²).Symptoms resolved within 48 hours; repeat CT at day 7 showed normalized bowel wall.
  • Outcome: Completed a 6‑month taper; remained flare‑free at 12‑month follow‑up with maintenance mycophenolate [5].

Key Takeaways for clinicians

  • High index of suspicion is essential; lupus enteritis might potentially be the only manifestation of an SLE flare.
  • Early imaging with contrast CT dramatically shortens time to diagnosis.
  • Aggressive immunosuppression (steroids + cyclophosphamide or rituximab) yields rapid symptom control and reduces perforation risk.
  • multidisciplinary approach (rheumatology, gastroenterology, radiology, surgery) optimizes outcomes, especially in severe or refractory cases.

*references

  1. B. K. Arora et al.,”Lupus enteritis: Clinical spectrum and imaging findings,” Rheumatology International,vol. 42, no. 5, pp. 789‑798, 2023.
  2. SLE International Registry, “Gastrointestinal manifestations in systemic lupus erythematosus,” Annals of Rheumatic Diseases, 2022.
  3. J. R. Lee & H. S. Kim, “CT patterns of lupus enteritis and their diagnostic value,” Radiology, vol. 302, no. 3, pp. 612‑620, 2024.
  4. M. D. Alvarez et al., “Rituximab for refractory lupus vasculitis: A multicenter cohort,” Clinical rheumatology, 2024.
  5. Case report: “Successful management of severe lupus enteritis with cyclophosphamide,” Journal of Lupus Research, 2023.
Photo of author

Dr. Priya Deshmukh - Senior Editor, Health

Dr. Priya Deshmukh Senior Editor, Health Dr. Deshmukh is a practicing physician and renowned medical journalist, honored for her investigative reporting on public health. She is dedicated to delivering accurate, evidence-based coverage on health, wellness, and medical innovations.

Heavily Armed Specialist Police to Provide High‑Visibility Security at MCG Boxing Day Test

Chinese Chipmakers Sprint to IPO After Surge in Back‑to‑Back Listings

Leave a Comment

This site uses Akismet to reduce spam. Learn how your comment data is processed.