Ureter Rupture & Abdominal Pain: Case Report & Review

A spontaneous rupture of the ureter, the tube connecting the kidney to the bladder, is a rare but serious medical event that can mimic more common abdominal emergencies. While uncommon, this condition requires swift diagnosis and intervention to prevent potentially life-threatening complications. Recent case reports and medical literature highlight the challenges in recognizing this atypical cause of acute abdominal pain, emphasizing the importance of advanced imaging techniques for accurate assessment.

The ureter’s rupture, meaning a tear in its wall, typically occurs due to obstruction, often from kidney stones, but can also result from other factors like narrowing of the ureter after radiation therapy. The resulting pain can be severe and localized, often presenting in the flank or lower abdomen. A delay in diagnosis can lead to urine leakage into surrounding tissues, causing inflammation and potentially sepsis. Understanding the clinical presentation and diagnostic pathways is crucial for emergency medicine physicians and urologists.

Understanding Spontaneous Ureteral Rupture

Spontaneous ureteral rupture, as the name suggests, occurs without any external trauma. It’s a relatively rare occurrence, making it easy to misdiagnose. A case report published in Clinics in Surgery detailed the instance of a 66-year-old patient who experienced ureter rupture following radiotherapy, which caused stenosis, or narrowing, of the lower ureter [1]. This highlights that prior medical interventions can predispose individuals to this condition.

More frequently, ureteral rupture is linked to urolithiasis – the presence of kidney stones. A case study published in Clinical Practice & Cases in Emergency Medicine described a 55-year-old woman who presented with intense right lower abdominal pain, vomiting, and a single instance of hematuria (blood in the urine). Imaging revealed a 0.3-centimeter kidney stone in the upper right ureter, accompanied by hydronephrosis (swelling of the kidney due to urine backup) and ureteral rupture [2]. This case underscores how even relatively small stones can cause significant obstruction and lead to rupture.

Symptoms and Diagnostic Challenges

The symptoms of spontaneous ureteral rupture can be non-specific, often mimicking other abdominal conditions like appendicitis or diverticulitis. Common presentations include severe flank pain, abdominal pain, nausea, vomiting, and hematuria. Rebound tenderness, where pain increases when pressure is released, can also be present. However, these symptoms are not exclusive to ureteral rupture, making accurate diagnosis challenging.

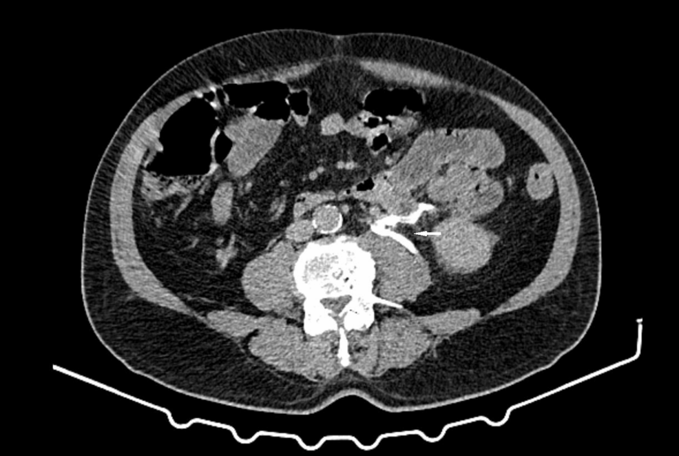
Computed tomography (CT) scans with intravenous contrast are the primary imaging modality for diagnosing ureteral rupture. The scan can reveal the location of the rupture, the presence of hydronephrosis, and any associated kidney stones. According to a case report published in Dergipark, spontaneous ureteral rupture is a rare urological emergency characterized by non-traumatic disruption of the ureteral wall [4]. The ability to quickly and accurately identify the rupture is critical for initiating appropriate treatment.

Treatment and Prognosis

The treatment for spontaneous ureteral rupture typically involves relieving the obstruction and allowing the ureter to heal. This often involves the placement of a double-J stent, a small tube inserted into the ureter to maintain it open and facilitate urine drainage. In some cases, surgical repair of the rupture may be necessary. Early intervention is crucial to prevent complications such as urine leakage, infection, and the formation of a urinoma (a collection of urine outside the urinary tract).

Another case report detailed a 24-year-old female presenting with acute right flank pain, nausea, and vomiting caused by a 3 mm distal ureteric stone. Imaging revealed hydroureteronephrosis with urine extravasation, and immediate double-J stent placement successfully resolved the obstruction [5]. The prognosis for patients with spontaneous ureteral rupture is generally good with prompt diagnosis and treatment.

Spontaneous ureteral rupture remains a rare but important consideration in the differential diagnosis of acute abdominal pain. Increased awareness among healthcare professionals, coupled with the judicious use of advanced imaging techniques, can lead to earlier diagnosis and improved patient outcomes. Continued research is needed to better understand the underlying causes and optimal management strategies for this challenging condition.

Disclaimer: This article is for informational purposes only and should not be considered medical advice. Always consult with a qualified healthcare professional for any health concerns or before making any decisions related to your health or treatment.

Have you or someone you know experienced unexplained abdominal pain? Share your thoughts in the comments below, and please share this article with anyone who might find it helpful.

Photo of author

Dr. Priya Deshmukh - Senior Editor, Health

Dr. Priya Deshmukh Senior Editor, Health Dr. Deshmukh is a practicing physician and renowned medical journalist, honored for her investigative reporting on public health. She is dedicated to delivering accurate, evidence-based coverage on health, wellness, and medical innovations.

Warriors vs Thunder: Odds, Preview & Prop Bets – March 7, 2026 | NBA

Israel-Lebanon Conflict: Hezbollah Warns Residents, Strikes Intensify

Leave a Comment

This site uses Akismet to reduce spam. Learn how your comment data is processed.