Aspergillosis & MOTT: A Rare Cavitary Lung Infection Case

The Rising Threat of Co-Infections: How MOTT & Aspergillosis Signal a Shift in Pulmonary Disease Management

Imagine a future where routine respiratory infections are rarely straightforward. A future where fungal and bacterial co-infections, once considered rare, become increasingly common, challenging diagnostic capabilities and demanding new treatment strategies. This isn’t science fiction; it’s a potential reality highlighted by a recent case report detailing bilateral chronic cavitary pulmonary aspergillosis (BCCPA) in a patient also battling Mycobacteria Other Than Tuberculosis (MOTT) infection. This convergence isn’t just a medical curiosity – it’s a harbinger of broader changes in pulmonary health, driven by factors like immunocompromised populations and evolving microbial resistance.

The Complex Interplay of Fungal and Bacterial Lung Infections

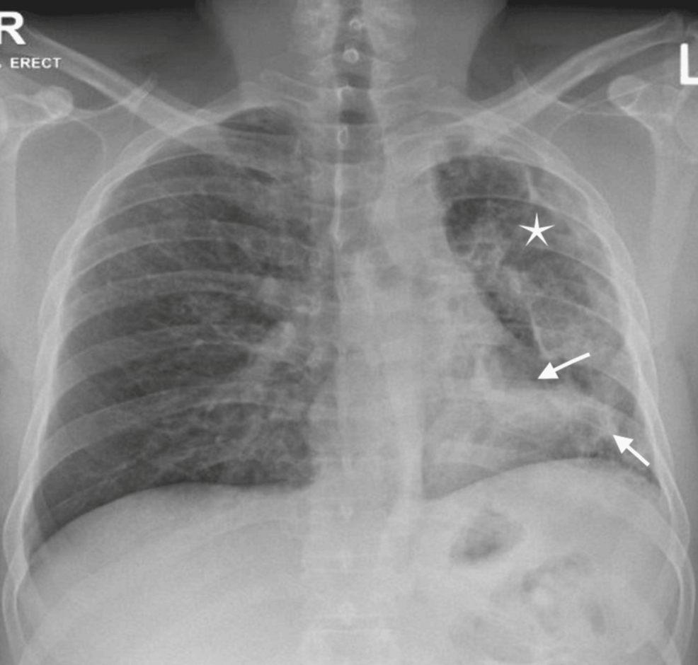
The case report, published in the Cureus Journal of Medical Science, underscores the diagnostic challenges presented when patients exhibit symptoms of both BCCPA and MOTT infection. Both conditions can cause similar symptoms – chronic cough, fatigue, weight loss, and cavitary lesions in the lungs – leading to potential delays in accurate diagnosis and appropriate treatment. **BCCPA**, a serious fungal infection typically affecting individuals with underlying lung disease, is often misdiagnosed as tuberculosis. Simultaneously, MOTT infections, while not as contagious as tuberculosis, are becoming more prevalent, particularly in individuals with structural lung abnormalities.

The co-occurrence of these infections isn’t random. Underlying lung conditions, such as COPD or bronchiectasis, create an environment conducive to both fungal colonization and mycobacterial growth. Immunosuppression, whether due to HIV, organ transplantation, or immunosuppressive medications, further weakens the body’s defenses, increasing susceptibility to both. This synergy between predisposing factors and opportunistic pathogens is a key trend to watch.

Understanding the Rise of MOTT Infections

MOTT infections are gaining attention not just for their co-occurrence with fungal infections, but for their increasing incidence overall. Several factors contribute to this trend. Improved diagnostic capabilities allow for more accurate identification of MOTT species. Furthermore, an aging population with increased rates of underlying lung disease provides a larger susceptible pool. Finally, environmental reservoirs of MOTT organisms, found in water and soil, are becoming more widespread due to climate change and altered land use.

Did you know? The prevalence of MOTT infections varies geographically, with certain species being more common in specific regions. This highlights the importance of considering a patient’s travel history and environmental exposures during diagnosis.

Future Trends: Personalized Medicine and Advanced Diagnostics

Looking ahead, the management of co-infections like BCCPA and MOTT will likely hinge on two key advancements: personalized medicine and advanced diagnostics. Currently, treatment often involves prolonged courses of multiple antibiotics and antifungals, with varying degrees of success. However, a “one-size-fits-all” approach isn’t optimal.

Personalized medicine, leveraging genomic sequencing and biomarker analysis, promises to tailor treatment regimens to individual patient characteristics and the specific strains of pathogens involved. This could involve identifying genetic predispositions to infection, predicting treatment response, and minimizing adverse effects. For example, pharmacogenomic testing could help determine the optimal dosage of antifungal medications based on a patient’s metabolic profile.

The Role of Next-Generation Sequencing (NGS)

NGS is poised to revolutionize the diagnosis of pulmonary co-infections. Traditional culture-based methods can be slow and often fail to identify all pathogens present. NGS allows for rapid and comprehensive identification of bacteria, fungi, and viruses directly from clinical samples, providing a more accurate and timely diagnosis. This is particularly crucial in cases of co-infection, where multiple pathogens may be contributing to the patient’s illness.

Expert Insight: “The ability to rapidly identify all pathogens present in a lung sample using NGS will dramatically improve our ability to diagnose and treat complex pulmonary infections,” says Dr. Anya Sharma, a leading pulmonologist specializing in infectious diseases. “This will lead to more targeted therapies and improved patient outcomes.”

Implications for Immunocompromised Patients

The increasing prevalence of co-infections has particularly significant implications for immunocompromised patients. Individuals with HIV, transplant recipients, and those undergoing chemotherapy are at heightened risk of developing both BCCPA and MOTT infections. Proactive screening and preventative measures are crucial in this population.

Pro Tip: For immunocompromised patients, consider routine screening for fungal and mycobacterial infections, especially if they have underlying lung disease. Early detection and intervention can significantly improve prognosis.

The Impact of Climate Change and Environmental Factors

Climate change is indirectly contributing to the rise of pulmonary co-infections. Changes in temperature and rainfall patterns can alter the distribution of fungal spores and mycobacteria in the environment, increasing exposure risk. Furthermore, extreme weather events, such as floods and hurricanes, can disrupt water supplies and create conditions favorable for microbial growth.

Key Takeaway: Environmental factors play a significant role in the epidemiology of pulmonary infections. Public health initiatives aimed at mitigating climate change and improving water quality are essential for preventing the spread of these diseases.

Frequently Asked Questions

What is BCCPA?

BCCPA stands for Bilateral Chronic Cavitary Pulmonary Aspergillosis. It’s a serious fungal infection of the lungs, often occurring in individuals with pre-existing lung disease. It causes cavities to form in the lungs and can lead to chronic symptoms like cough, fatigue, and weight loss.

How is MOTT infection diagnosed?

MOTT infection is typically diagnosed through sputum cultures or lung biopsies. However, traditional culture methods can be slow and may not always identify all MOTT species. Next-generation sequencing (NGS) is becoming increasingly important for accurate diagnosis.

Are BCCPA and MOTT infections treatable?

Yes, both infections are treatable, but treatment can be prolonged and challenging. BCCPA is typically treated with antifungal medications, while MOTT infections require a combination of antibiotics. Personalized medicine approaches are being developed to optimize treatment regimens.

What can I do to prevent these infections?

Preventative measures include managing underlying lung disease, avoiding exposure to environmental sources of fungi and mycobacteria, and maintaining a strong immune system. For immunocompromised individuals, proactive screening and preventative medications may be recommended.

The convergence of fungal and bacterial lung infections, as exemplified by the case of BCCPA and MOTT co-infection, signals a need for a paradigm shift in pulmonary disease management. By embracing advanced diagnostics, personalized medicine, and a holistic understanding of environmental factors, we can better protect vulnerable populations and prepare for the evolving challenges of respiratory health. What steps will healthcare systems take to adapt to this changing landscape?


Explore more insights on managing infections in immunocompromised patients in our comprehensive guide. Stay ahead of the curve – subscribe to the Archyde.com newsletter for the latest trends in pulmonary health.

Photo of author

Dr. Priya Deshmukh - Senior Editor, Health

Dr. Priya Deshmukh Senior Editor, Health Dr. Deshmukh is a practicing physician and renowned medical journalist, honored for her investigative reporting on public health. She is dedicated to delivering accurate, evidence-based coverage on health, wellness, and medical innovations.

Madeleine McCann: Fake Maddie Evidence Found Hidden?

Free Open World RPG on Steam – Don’t Miss Out!

Leave a Comment

This site uses Akismet to reduce spam. Learn how your comment data is processed.