Rare Convergence of Conditions: When Diabetes, Kidney Disease, and Stroke Collide
Table of Contents
- 1. Rare Convergence of Conditions: When Diabetes, Kidney Disease, and Stroke Collide
- 2. The Case Unveiled
- 3. Understanding the Interplay
- 4. Key Factors and Warning Signs
- 5. The Role of Proactive Management
- 6. Looking Ahead
- 7. Long-Term Implications for Public Health
- 8. Frequently Asked Questions
- 9. How does the interplay between endothelial dysfunction, hypertension, and inflammation contribute to the progression of diabetic complications, CKD, and hemorrhagic stroke in this case study?
- 10. Complex Coexistence of Diabetic Complications, Chronic Kidney Disease, and Hemorrhagic Stroke: An In-depth Case Study
- 11. Understanding the Triad of Risk
- 12. The Pathophysiological Links
- 13. Case study: A 68-Year-Old Male with Multifaceted Challenges
- 14. Management Strategies: A Multidisciplinary Approach
- 15. The Role of Emerging Therapies
New York, NY – A recently documented medical case highlights the critical and often overlooked connection between diabetes complications, chronic kidney disease, and the increased risk of hemorrhagic stroke. Medical professionals are urging greater awareness of this dangerous triad and the need for proactive, integrated patient care.
The Case Unveiled
Details of the case, initially reported through medical journals, describe a patient presenting with a complex interplay of long-standing Type 2 Diabetes, progressing chronic kidney disease, and ultimately, a life-threatening hemorrhagic stroke. The patient’s condition demonstrated how these seemingly disparate conditions can exacerbate each other, leading to a significantly worsened outcome. Researchers are still analyzing various factors,and currently there is no more information available on the patient’s condition.
Understanding the Interplay
Diabetes, affecting over 37.3 million Americans according to the Centers for Disease Control and Prevention, is a primary driver of both kidney disease and vascular complications.Uncontrolled blood sugar levels damage blood vessels throughout the body, including those in the kidneys and brain. This damage increases the risk of both chronic kidney disease and stroke.
Chronic kidney disease, in turn, accelerates the progression of cardiovascular issues, further elevating the stroke risk. Furthermore, impaired kidney function can affect medication metabolism, potentially leading to drug accumulation and increased risk of bleeding, a major concern in hemorrhagic stroke.
Key Factors and Warning Signs
The case highlighted several key contributing factors. These included poorly managed blood glucose levels, hypertension, and a lack of consistent monitoring of kidney function.Early warning signs that patients and healthcare providers shoudl be vigilant for include:
- Persistent fatigue and weakness
- Swelling in the ankles and feet
- Changes in urination frequency or volume
- Sudden severe headache
- Weakness or numbness on one side of the body
- Difficulty speaking or understanding
Did You Know? Approximately 1 in 7 adults in the united States has chronic kidney disease, but many are unaware they have it in its early stages.
The Role of Proactive Management
Experts emphasize that preventing this dangerous convergence requires a proactive, holistic approach to patient care. This includes:
Regular monitoring of blood glucose, blood pressure, and kidney function for individuals with diabetes. implementation of lifestyle modifications,such as diet and exercise,to manage diabetes and hypertension. Close collaboration between endocrinologists, nephrologists, and neurologists to provide extensive care.
| Condition | Key risk Factors | Early Detection |
|---|---|---|
| Diabetes | Family history, obesity, inactivity | Regular blood glucose testing |
| Chronic Kidney Disease | Diabetes, hypertension, family history | Urine and blood tests for kidney function |
| Hemorrhagic Stroke | Hypertension, diabetes, aneurysm | Prompt medical attention for sudden neurological symptoms |
Pro Tip: Maintaining a healthy lifestyle, including a balanced diet, regular exercise, and avoiding smoking, can significantly reduce your risk of developing these interconnected conditions.
Looking Ahead
This case serves as a stark reminder of the complex interplay between chronic diseases and the importance of integrated care. Further research is needed to better understand the underlying mechanisms driving this convergence and to develop more effective strategies for prevention and treatment.
Long-Term Implications for Public Health
The increasing prevalence of diabetes and chronic kidney disease globally suggests that the risk of these concurrent conditions will likely rise. Public health initiatives focused on early detection, prevention, and education are crucial to mitigate this growing threat. Moreover, healthcare systems need to adopt a more coordinated care model to address the multifaceted needs of these patients.
Frequently Asked Questions
- What is the link between diabetes and stroke? Diabetes damages blood vessels, increasing the risk of various types of stroke, including hemorrhagic stroke.
- Can kidney disease be prevented? Managing diabetes and hypertension, along with a healthy lifestyle, can significantly reduce the risk of developing chronic kidney disease.
- What are the symptoms of a hemorrhagic stroke? Sudden severe headache, weakness or numbness, speech difficulty, and vision changes are common symptoms.
- Is this convergence of conditions common? while not typical, the coexistence of diabetes, kidney disease, and stroke is becoming increasingly recognized due to the rising rates of diabetes and chronic disease.
- How can I protect myself from these conditions? Regular check-ups, healthy lifestyle choices, and proactive management of existing conditions are essential for prevention.
What are your thoughts on the need for increased awareness of these interconnected health risks? Share your comments below and help us start a conversation about proactive health management!
How does the interplay between endothelial dysfunction, hypertension, and inflammation contribute to the progression of diabetic complications, CKD, and hemorrhagic stroke in this case study?
Complex Coexistence of Diabetic Complications, Chronic Kidney Disease, and Hemorrhagic Stroke: An In-depth Case Study
Understanding the Triad of Risk
The convergence of diabetes mellitus, chronic kidney disease (CKD), and hemorrhagic stroke represents a notably challenging clinical scenario. each condition independently carries significant morbidity and mortality, but their simultaneous presence dramatically increases the risk of adverse outcomes. This article delves into the intricate interplay between these diseases,utilizing a detailed case study to illustrate diagnostic approaches,management strategies,and potential preventative measures. We’ll focus on diabetes complications, chronic kidney disease management, and hemorrhagic stroke treatment.
The Pathophysiological Links
Several shared pathophysiological mechanisms contribute to this complex coexistence.
* Endothelial Dysfunction: Diabetes induces widespread endothelial damage, a key factor in both CKD and stroke growth. Impaired endothelial function promotes atherosclerosis, hypertension, and increased vascular permeability.
* Hypertension: A common thread linking all three conditions. Diabetic nephropathy frequently leads to hypertension, wich, in turn, accelerates CKD progression and elevates stroke risk. Hypertension in diabetes requires aggressive management.
* Inflammation: Chronic inflammation is central to the pathogenesis of diabetes, CKD, and stroke.Elevated inflammatory markers contribute to vascular damage and thrombosis.
* Renin-Angiotensin-Aldosterone System (RAAS) Activation: Diabetes and CKD both activate the RAAS, exacerbating hypertension, proteinuria, and fibrosis. RAAS inhibitors are crucial in management.
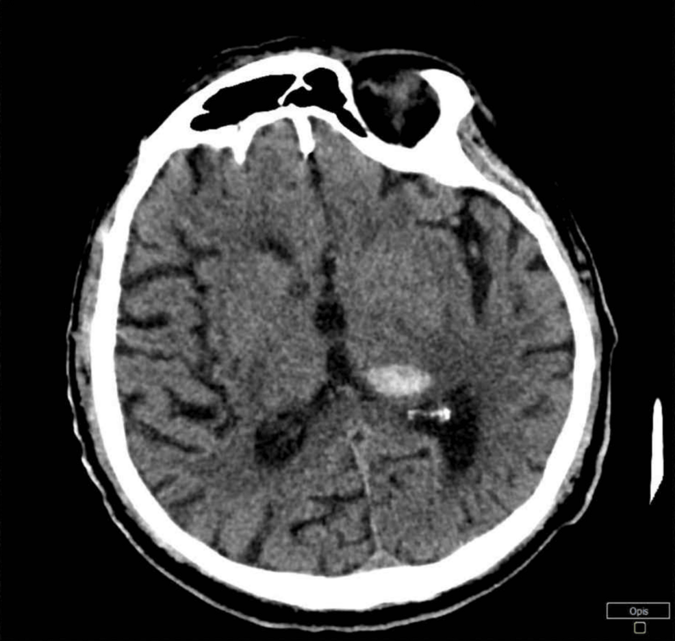
Case study: A 68-Year-Old Male with Multifaceted Challenges
A 68-year-old male with a 25-year history of type 2 diabetes presented with sudden onset left-sided weakness and slurred speech. His medical history included poorly controlled diabetes (HbA1c 9.8%), stage 3 CKD (eGFR 45 ml/min/1.73m²), and a history of hypertension.
Initial Presentation & Diagnosis:
* Neurological examination revealed right hemiparesis and aphasia.
* CT scan of the head confirmed a left parietal lobe intracerebral hemorrhage (ICH). This classifies the stroke as a cerebral hemorrhage.
* Initial blood glucose was 280 mg/dL.
* Renal function tests showed elevated creatinine and proteinuria.
* Further investigation revealed microalbuminuria, indicative of diabetic nephropathy.
Diagnostic Workup:
- Stroke Etiology: beyond the hemorrhage, investigation focused on identifying contributing factors. Cardiac evaluation (ECG, echocardiogram) ruled out atrial fibrillation. Carotid ultrasound showed moderate stenosis.
- Diabetes Assessment: Complete diabetes review,including assessment of microvascular complications (retinopathy,neuropathy).
- CKD Staging & Evaluation: Detailed assessment of CKD progression, including urine protein-to-creatinine ratio and renal ultrasound. Glomerular filtration rate (GFR) monitoring is essential.
- Vascular Risk Factor Profile: Lipid panel, assessment of smoking history, and family history of cardiovascular disease.
Management Strategies: A Multidisciplinary Approach
Effective management requires a coordinated effort from neurologists,endocrinologists,nephrologists,and primary care physicians.
* Acute Stroke Management: Initial focus was on stabilizing the patient, controlling blood pressure (carefully, given CKD), and preventing secondary brain injury.Stroke rehabilitation was initiated early.
* glycemic control: Intensive glycemic control was implemented, aiming for an HbA1c <7%, but with caution to avoid hypoglycemia, which can worsen neurological outcomes. Insulin therapy was adjusted based on renal function.
* blood pressure Control: Target blood pressure was <130/80 mmHg, utilizing RAAS inhibitors (angiotensin-converting enzyme inhibitors or angiotensin receptor blockers) where renal function permitted. Antihypertensive medications were carefully titrated.
* Renal Protection: Strategies to slow CKD progression included dietary protein restriction, sodium restriction, and optimization of glycemic control. Nephrology consultation was crucial.
* Secondary Stroke Prevention: Management of carotid stenosis with lifestyle modifications and potential endarterectomy or stenting. Antiplatelet therapy was initiated after ruling out contraindications. Stroke prevention strategies are paramount.
* Monitoring for Complications: Regular monitoring for signs of worsening CKD, cardiovascular events, and diabetic complications.
The Role of Emerging Therapies
Research is ongoing to identify novel therapies that target the interconnected pathways driving these conditions.
* SGLT2 Inhibitors: These agents, initially developed for diabetes, have demonstrated renoprotective effects and may reduce cardiovascular risk. However, their use in advanced CKD requires careful consideration.
* Mineralocorticoid Receptor antagonists: