Rare Intracranial Hemorrhage Mimics Neoplasm in Child With Hereditary hemorrhagic Telangiectasia
Table of Contents
- 1. Rare Intracranial Hemorrhage Mimics Neoplasm in Child With Hereditary hemorrhagic Telangiectasia
- 2. The Unique Presentation Of Intracranial Hemorrhage
- 3. Hereditary Hemorrhagic Telangiectasia: A Key Factor
- 4. Diagnostic Challenges and Triumphs
- 5. implications For Pediatric Care
- 6. The Importance Of early Diagnosis
- 7. Understanding Intracranial Hemorrhage: evergreen Insights
- 8. Risk Factors And Prevention
- 9. Advancements In Diagnosis And Treatment
- 10. Frequently Asked Questions about Intracranial Hemorrhage And Hereditary Hemorrhagic Telangiectasia
- 11. PAA related questions for the title: “Intracranial Hemorrhage Mimicking Neoplasm in Child with HHT: Understanding the Complexities”
- 12. Intracranial Hemorrhage Mimicking Neoplasm in Child with HHT: Understanding the Complexities
- 13. Hereditary Hemorrhagic Telangiectasia (HHT): The Underlying Predisposition
- 14. key Features of HHT Contributing to Intracranial Hemorrhage Risk
- 15. The Mimicry: Why Intracranial Hemorrhage Can Appear as a Neoplasm
- 16. Differentiating ICH from Neoplasm
- 17. Diagnostic Approach in Children with Suspected Intracranial Hemorrhage and HHT
- 18. Treatment and Management Strategies
- 19. Treatment Modalities
- 20. Challenges and Considerations
- 21. Practical Tips for Healthcare Professionals
A Groundbreaking Case Has Emerged, Detailing a Unique Instance Of intracranial Hemorrhage. This Rare Occurrence Was Found In A Child Afflicted With Hereditary Hemorrhagic Telangiectasia (HHT), And Presented Diagnostic Challenges By Mimicking A Neoplasm.
The Unique Presentation Of Intracranial Hemorrhage
Intracranial Hemorrhage, Or Bleeding Within The Skull, Can Result From A Variety Of Causes. These Range From Trauma To Underlying Vascular abnormalities. However, When It Presents in An Atypical Manner, Such As Resembling A Tumor Or Neoplasm, It Requires A High Degree Of Clinical Acumen To Accurately Diagnose.
In This Particular Case, The Intracranial Hemorrhage’s Presentation Obscured Its True Nature. This Made Differentiation From A Neoplasm significantly More Complex, Emphasizing The Importance Of Considering Rare Presentations In Differential Diagnoses.
Hereditary Hemorrhagic Telangiectasia: A Key Factor
Hereditary Hemorrhagic Telangiectasia Is A Genetic Disorder Affecting Blood Vessels. It Causes Them To Develop Abnormally. These Abnormalities Can Led To A Higher Risk Of Bleeding, Especially In Areas Like The brain.
The Presence Of HHT In This Pediatric Patient Added Another Layer Of complexity To The Diagnostic Process. It Highlighted The Need For Clinicians To Be Vigilant About The Potential For Unusual Presentations Of Intracranial Hemorrhage In Individuals With Predisposing Conditions.
Diagnostic Challenges and Triumphs
The Initial Suspicion Of A Neoplasm Necessitated Extensive Imaging Studies. These Examinations Were Vital to Ascertain The Precise Nature Of The Intracranial Abnormality.
Ultimately, A Combination Of Advanced Imaging Techniques And A Thorough Clinical Evaluation Led To The Accurate Diagnosis Of Intracranial Hemorrhage. This Prevented Unnecessary Interventions And Facilitated Appropriate Management.
Did You Know? HHT Affects approximately 1 in 5,000 people worldwide, according to the National Institutes of Health.
implications For Pediatric Care
this Case Underscores the critical Importance Of Maintaining A Broad Differential Diagnosis In Pediatric Patients. This Is Especially Vital When dealing With Neurological presentations.
Furthermore, It Emphasizes The Value of A Multidisciplinary Approach. Collaboration Between Neurologists,Radiologists,And geneticists Can Improve Diagnostic Accuracy And Patient Outcomes.
| Feature | Intracranial Hemorrhage | Neoplasm |
|---|---|---|
| Nature | Bleeding within the skull | Abnormal tissue growth |
| Cause | Trauma, vascular issues, HHT | Genetic mutations, environmental factors |
| Presentation | Sudden onset, can mimic neoplasm | Gradual onset, progressive symptoms |
| Diagnosis | Imaging, clinical evaluation | Biopsy, imaging, clinical evaluation |
The Importance Of early Diagnosis
Early And Accurate Diagnosis is Paramount In Cases Involving Intracranial Hemorrhage And Underlying Conditions Like HHT. Timely Intervention Can Significantly Reduce The Risk Of Long-Term Neurological Sequelae.
Moving Forward, Continued Research And Awareness are Essential To Improve Diagnostic Capabilities And Outcomes For Individuals With Rare Presentations Of Neurological Disorders.
Understanding Intracranial Hemorrhage: evergreen Insights
Intracranial Hemorrhage (ICH) Remains A Significant Neurological Emergency. Recognizing The Diverse Presentations Of ICH Is Crucial For Prompt And Effective Management.
Risk Factors And Prevention
Several Factors Can Increase The Risk Of ICH. These Include Hypertension, Anticoagulation Therapy, and Underlying Vascular Abnormalities. Managing These Risk Factors Thru Lifestyle Modifications and Medical Interventions Can Potentially Reduce the Likelihood of ICH.
Advancements In Diagnosis And Treatment
Significant Advancements Have Been Made in The Diagnosis And Treatment Of ICH. These Include improved Imaging Modalities And Minimally Invasive Surgical Techniques.
Continuous Innovations Are Aimed At Enhancing Outcomes And Minimizing Long-Term Disabilities Associated With ICH.
Frequently Asked Questions about Intracranial Hemorrhage And Hereditary Hemorrhagic Telangiectasia
- What is Intracranial Hemorrhage?
- Intracranial Hemorrhage (ICH) refers to bleeding inside the skull. It can occur due to various reasons, including trauma, high blood pressure, or underlying vascular abnormalities.
- What is Hereditary Hemorrhagic Telangiectasia (HHT)?
- HHT is a genetic disorder affecting blood vessels, causing them to develop abnormally. This can lead to an increased risk of bleeding, notably in the brain, nose, and digestive tract.
- How can Intracranial Hemorrhage mimic a Neoplasm?
- Sometimes, the way the bleeding presents on imaging scans can resemble a tumor or neoplasm. This makes it challenging to differentiate between the two, requiring further investigation.
- what are the diagnostic challenges in such cases of Intracranial Hemorrhage?
- The primary challenge is distinguishing between an actual tumor and a bleed that looks like a tumor. Advanced imaging techniques and a thorough clinical evaluation are crucial for accurate diagnosis.
- What is the importance of early diagnosis in Intracranial Hemorrhage?
- Early and accurate diagnosis is essential to initiate timely treatment and prevent potential long-term neurological complications. Prompt intervention can significantly improve patient outcomes.
- Is Intracranial Hemorrhage related to genetic conditions?
- Yes, conditions like Hereditary Hemorrhagic Telangiectasia (HHT) can increase the risk of intracranial hemorrhage due to abnormal blood vessel progress.
- What are the latest advancements in treating Intracranial Hemorrhage?
- Advancements include improved imaging modalities, minimally invasive surgical techniques, and targeted therapies to manage bleeding and reduce long-term disabilities.
What Are Your Thoughts On This Rare Case? Share Your Comments Below.
Intracranial Hemorrhage Mimicking Neoplasm in Child with HHT: Understanding the Complexities
Intracranial hemorrhage (ICH) in children is a serious medical condition. When the presentation mimics a brain tumor (neoplasm), especially in a child with Hereditary Hemorrhagic Telangiectasia (HHT), the diagnostic and treatment challenges become significantly more complex.This article delves into the nuances of this critical clinical scenario, offering insights into diagnosis, management, and the key considerations for improving outcomes.
Hereditary Hemorrhagic Telangiectasia (HHT): The Underlying Predisposition
HHT, also known as Osler-Weber-Rendu syndrome, is a genetic disorder characterized by the abnormal advancement of blood vessels. This can lead to the formation of arteriovenous malformations (AVMs) and telangiectasias (small, dilated blood vessels) in various organs, including the brain, lungs, liver, and gastrointestinal tract. These AVMs pose a significant risk of bleeding, significantly increasing the chance of developing intracranial hemorrhage. The prevalence of HHT is estimated to be 1 in 5,000-10,000 individuals globally.
key Features of HHT Contributing to Intracranial Hemorrhage Risk
- Cerebral AVMs: The most significant risk factor, directly leading to increased likelihood of spontaneous hemorrhage.
- Pulmonary AVMs: Can cause paradoxical embolization, including brain abscesses, further complicating neurological presentations.
- Hepatic AVMs: Less directly associated with ICH, but can contribute to overall cardiovascular stress.
The Mimicry: Why Intracranial Hemorrhage Can Appear as a Neoplasm
When an intracranial hemorrhage presents initially, it may appear as a brain tumor for several reasons. The mass effect caused by blood accumulation, along with associated edema, can mimic the space-occupying properties of a true neoplasm. Additionally, patients often exhibit similar symptoms such as headaches, focal neurological deficits, seizures, and vomiting. The clinical presentation will vary depending on the location and size of the hemorrhage and the child’s developmental stage.
Misdiagnosis of a hemorrhage with this presentation can occur without rapid and accurate imaging and understanding of the patient’s clinical history, notably concerning predisposition to HHT.
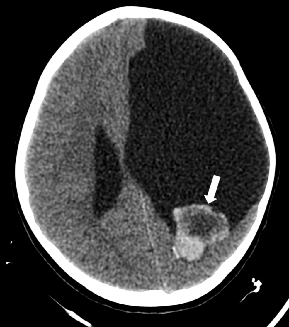
Differentiating ICH from Neoplasm
The image below details common techniques used to differentiate ICH from Neoplasm.
| Diagnostic Tool | ICH Findings | Neoplasm Findings |
|---|---|---|
| CT Scan (Computed Tomography) | Hyperdense (bright) blood, mass effect, possibly edema. | Variable density,often with mass effect and edema; may show calcifications or contrast enhancement. |
| MRI (Magnetic Resonance Imaging) | Blood shows characteristic signal changes over time (stages of blood degradation). May reveal AVMs. | Variable signal intensity, often with contrast enhancement; detailed anatomical visualization. |
| Angiography (Digital Subtraction angiography – DSA) | may reveal AVMs or other vascular abnormalities, source of hemorrhage. | May show tumor vascularity or vessel displacement. |
Diagnostic Approach in Children with Suspected Intracranial Hemorrhage and HHT
A rapid and thorough diagnostic approach is crucial when a child with suspected HHT presents with neurological symptoms. The presence of HHT demands heightened suspicion for vascular causes of intracranial hemorrhage. The initial investigations frequently enough include:
- Detailed Medical History: A family history of HHT, recurrent nosebleeds (epistaxis), and any previous neurological symptoms are vital.
- Neurological examination: Assessing for focal deficits, altered mental status, and signs of increased intracranial pressure.
- Imaging Studies:
- Non-contrast CT: The initial imaging modality to assess for acute hemorrhage.
- MRI with and without contrast: Considered the superior imaging modality to determine the age and volume of the hemorrhage including detailed assessment of the brain parenchyma.
- MR Angiography (MRA) and MR Venography (MRV): To visualize the intracranial vasculature; can reveal AVMs.
- Digital Subtraction Angiography (DSA): The gold standard for defining the anatomy of AVMs and their feeding vessels, allowing for surgical planning.
- Genetic Testing: Testing for HHT-1, 2 mutations supports the findings and confirms the diagnosis.
Treatment and Management Strategies
Management of ICH in children with HHT requires a multidisciplinary approach involving pediatric neurologists, neurosurgeons, interventional neuroradiologists, and geneticists. The primary goals are to control the bleeding, mitigate intracranial pressure, and prevent recurrent hemorrhage.
Treatment Modalities
- Medical Management:
- Supportive Care: monitoring vital signs, fluid management, and addressing any respiratory compromise are crucial.
- Anticonvulsants: Administered to control seizures.
- Antihypertensive Medications: To control blood pressure and prevent re-bleeding.
- Surgical Intervention:
- AVM Embolization: Minimally invasive procedure to close off the AVM.
- AVM Resection: Surgical removal of the AVM.
- Hemorrhage evacuation: Neurosurgical intervention may be indicated to decompress the brain and remove large hematomas.
Case studies of prosperous management strategies are often available in medical literature. These cases highlight the importance of early diagnosis and the benefits of a multidisciplinary approach.
Challenges and Considerations
Treating ICH in children with suspected HHT presents several challenges:
- Complex Vascular Anatomy: The variable nature of AVMs can make treatment planning challenging.
- Risk of Re-Bleeding: High in patients with untreated AVMs,emphasizing the need for aggressive management.
- Long-Term Follow-Up: Essential to monitor for recurrence of hemorrhage and long-term neurological sequelae.
Practical Tips for Healthcare Professionals
- Early Recognition: Maintain a high index of suspicion for HHT in children with ICH, especially those with a family history of nosebleeds or other HHT-related symptoms.
- Thorough Imaging: Employ advanced imaging techniques (MRI, MRA, DSA) for accurate diagnosis.
- Multidisciplinary Teamwork: Coordinate care among specialists for optimal patient management.
- Patient and Family Education: Provide detailed data about HHT, potential complications, and the importance of follow-up.
- Genetic Counseling: Offer genetic testing and counseling to affected individuals and their families, which helps to diagnose or rule out HHT at an early stage.